Bad breath caused by gum disease is a concern for many people. It can affect your confidence, your social life, and your overall sense of well-being. Gum disease, also known as periodontal disease, is a major source of persistent bad breath. Understanding why gum disease causes bad breath and learning how to treat it can help you regain your oral health and freshen your breath.
Understanding the Link Between Gum Disease and Bad Breath
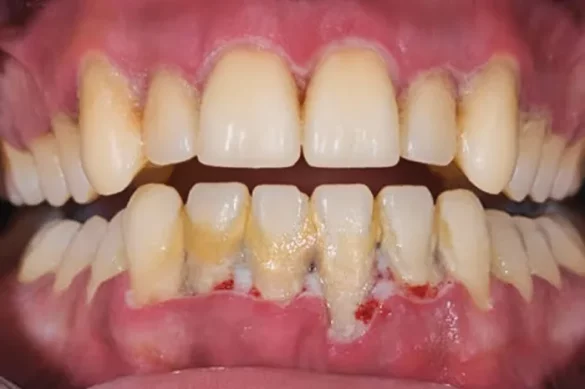
Gum disease is an infection of the tissues surrounding your teeth. When bacteria build up in your mouth, they can infect your gums. This infection leads to inflammation, bleeding, and sometimes pain. One of the main symptoms of gum disease is bad breath, also called halitosis.
The bacteria responsible for gum disease produce sulfur compounds. These compounds smell unpleasant and are the main reason for bad breath. As gum disease progresses, pockets form between the teeth and gums. These deep pockets trap even more bacteria, which makes the problem worse.
Common Causes of Bad Breath in Gum Disease
Bad breath from gum disease is usually caused by:
Plaque and Tartar Buildup
When plaque is not removed daily, it hardens into tartar. Tartar is full of bacteria that stay close to the gums, leading to infection and odor.
Gum Inflammation
Inflamed gums are a sign of infection. They often bleed and recede, which makes it easier for bacteria to hide. These bacteria continue producing foul smells.
Poor Oral Hygiene
Not brushing and flossing regularly allows food particles to stay in your mouth. These particles rot and also feed the bacteria causing gum disease and bad breath.
Dry Mouth
A lack of saliva means there is less natural cleaning happening in your mouth. Dry mouth can make bad breath worse, and it is common in people with gum disease.
How to Diagnose Bad Breath from Gum Disease
If you notice persistent bad breath, see your dentist or periodontist. Dentists diagnose halitosis by evaluating mouth odor, checking the health of gums, and inspecting for pockets around the teeth. Sometimes, special devices are used to measure sulfur compounds in the breath. Based on the findings, your dentist will recommend an appropriate treatment plan.
Step-by-Step Treatment for Bad Breath from Gum Disease
Treating bad breath caused by gum disease requires a combination of professional dental care and good home habits. Here is what you should do:
1. Professional Dental Cleaning
A deep cleaning by your dentist or hygienist removes plaque and tartar both above and below the gum line. This process is important because brushing alone cannot clean these deep areas. Your dentist may use scaling and root planing to remove bacteria from pockets around the teeth.
2. Treat Gum Disease Directly
If the infection is advanced, your dentist might refer you to a gum specialist called a periodontist. Specialized treatments, including antibacterial rinses or minor surgical procedures, may be needed to restore your gum health.
3. Improved Oral Hygiene at Home
Oral hygiene is the foundation for treating and preventing gum disease and bad breath. It includes:
- Brushing teeth at least twice a day with fluoride toothpaste
- Using dental floss or interdental brushes daily to remove plaque between teeth
- Brushing or scraping your tongue
4. Using Antimicrobial Mouth Rinses
Many dentists recommend antibacterial mouthwashes. These rinses kill odor-causing bacteria and help control plaque. They reach places that brushing and flossing might miss, especially around inflamed gums.
5. Keeping Your Mouth Moist
Saliva helps clean the mouth naturally. To avoid dry mouth:
- Drink plenty of water throughout the day
- Chew sugar-free gum or suck on sugar-free candies to stimulate saliva
- If dry mouth persists, ask your dentist about artificial saliva preparations
6. Replacing Faulty Dental Work
Old fillings, bridges, or dentures can trap bacteria, making bad breath worse. Ask your dentist to check dental work and replace any faulty restorations.
7. Avoiding Tobacco Products
Smoking and using tobacco irritate your gums and promote gum disease. Tobacco also leaves a lasting odor in your mouth. Quitting tobacco can greatly improve your breath and oral health.
8. Modifying Your Diet
Foods with strong odors, such as garlic and onions, can worsen bad breath. Sugary foods also promote bacterial growth. Reducing these foods and eating crunchy fruits and vegetables, which help clean teeth naturally, support fresher breath.
Home Remedies and Lifestyle Tips
Besides dental treatments, adopting healthy habits can help prevent bad breath from gum disease:
- Brush after eating, especially after meals containing strong-smelling foods
- Keep a toothbrush at work for mid-day cleaning
- Rinse your mouth with water after eating if brushing is not possible
- Replace your toothbrush every 3-4 months or sooner if bristles are worn
- Maintain regular dental checkups, usually twice a year
When to Seek Professional Help
If bad breath continues despite good oral hygiene, it could mean your gum disease is serious. You may need special treatments such as prescription mouth rinses, antibiotics, or periodontal therapy. Only a dental professional can provide these advanced care options.
Preventing Bad Breath from Gum Disease
Prevention is the best cure for bad breath due to gum disease. Follow these steps:
- Brush and floss your teeth every day
- Clean your tongue gently
- Visit your dentist regularly for cleanings and checkups
- Quit smoking and avoid tobacco products
- Drink enough water and stay hydrated
- Treat dry mouth early
- Fix dental work as needed
Conclusion
Bad breath from gum disease is both a warning sign and a problem that affects your daily life. The first step is good oral hygiene, but professional dental treatment is often needed to fully solve the issue. New habits, regular checkups, and the help of dental specialists can completely transform your breath. By following the steps above, you can regain your oral confidence and enjoy fresher breath every day.
Frequently Asked Questions
What are the main causes of bad breath from gum disease?
The main causes are bacteria buildup, plaque and tartar, gum inflammation, poor oral hygiene, and dry mouth.
Can brushing alone cure bad breath from gum disease?
Brushing alone is usually not enough for advanced cases. Professional cleaning is needed to remove plaque and bacteria deep below the gum line.
Are mouth rinses effective for treating halitosis from gum disease?
Antimicrobial mouth rinses can help reduce bacteria and freshen breath, but they should be combined with brushing, flossing, and regular dental care.
How often should I visit my dentist for gum disease and bad breath?
Most experts recommend visiting your dentist twice a year for checkups and cleanings. Severe gum disease may require more frequent visits.
What should I do if my breath does not improve after home care?
If your bad breath continues despite good oral hygiene, see your dentist or periodontist for professional evaluation and treatment.

