
Frequently Asked Questions – DENTAL IMPLANTS
Main Content 1. Should I go for a maxillary sinus lift or a shorter implant? When it comes to dental implants, one of the critical

Main Content 1. Should I go for a maxillary sinus lift or a shorter implant? When it comes to dental implants, one of the critical

A recent supplement to the Compendium of Continuing Education in Dentistry features new findings on a stabilized stannous fluoride (SnF2) toothpaste formulation, highlighting its potential

Discover how sustainability in dentistry is transforming the industry through eco-friendly materials, digital education, ethical sourcing, and green practices. Sustainability in Dentistry: Ethical and Eco-Friendly

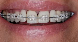
Tooth spacing issues, often referred to as gaps between teeth, can be a concern for many people. Whether these gaps are present due to genetics,
The two women visited Tigard City Dental in Portland, Ore., posing as customers, on Feb. 26. One woman stood at the front desk to schedule

UDHAMPUR: A one-day Training and Capacity Building Program for dental surgeons in District Udhampur was organized by the District Health Society at the Conference Hall
It’s National Careers Week – an opportunity to reflect on your career and look forward to your future. We spoke to some of the team
Laurence Stone, DDS, of Doylestown (Pa.) Dental Solutions, referred to financially motivated over-diagnosis and over-treatment as one of the most dangerous trends in the industry.

Wisdom teeth, also known as third molars, are the last set of teeth located at the back of your mouth. Most people develop these teeth

Dental care is essential for maintaining good oral health, and in Canada, many individuals seek dental insurance to help cover the cost of treatments. Dental
TAG opened the center in July 2022 to provide free comprehensive dental care to underserved patients in Illinois. The organization has already provided more than

Hudson Cloud Systems is proud to announce the launch of Cloud Portal, a fully managed, cloud-based IT infrastructure solution that transforms how dental schools deliver