
What Composites Are Available for the Back Teeth?
When it comes to dental restorations for back teeth, composites have become a popular choice. Back teeth, also known as posterior teeth, play a crucial

When it comes to dental restorations for back teeth, composites have become a popular choice. Back teeth, also known as posterior teeth, play a crucial
OraLiva, founded by John McDevitt, PhD, is working to fill that gap to aid in the early detection of oral cavity cancer. About 10% of

Dental fillings are an essential part of modern dentistry, used to repair teeth that have been damaged by decay or trauma. However, not all fillings

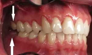
When faced with significant tooth damage or tooth loss, patients often have to consider between getting crowns or dentures. Both options have their own unique

Delta Dental of Virginia has announced the addition of Luder Milton as senior vice president and chief administrative officer. In this newly created role, Milton
Playground accidents, sporting injuries, farming mishaps and after-hours shenanigans can all lead to dental injuries and patients in pain turning up at emergency departments. Thirty-five
Police reported they had pulled over a vehicle for a traffic offense, but the vehicle sped off and crashed into the dental office. The driver
With dual desensitizers and 2 concentrations, FGM’s carbamide peroxide-based Wīt Essential whitening gel provides a safe, effective way to help every patient attain a brighter
Oral care brand Pärla has launched a round of crowdfunding – we heard from Pärla’s founders and an investor on the brand’s purpose and the
Jae Cho, DMD, received a call from a scammer pretending to be from the Utah Division of Occupational and Professional Licensing, claiming that his dental
The Dr. Lorna Breen Health Care Provider Protection Reauthorization Act would reauthorize a federal grant program that was originally enacted in March 2022, according to
Avoid wrist drag and other injuries connected to repetitive movement with a ergonomic cordless hygiene handpiece that’s well-balanced, lightweight, and ergonomic Has anyone thought