
How Does the Dentist Remove Invisalign Attachments?
Invisalign treatment has revolutionized the way we straighten teeth, offering a more comfortable and aesthetic alternative to traditional braces. However, a key part of the

Invisalign treatment has revolutionized the way we straighten teeth, offering a more comfortable and aesthetic alternative to traditional braces. However, a key part of the

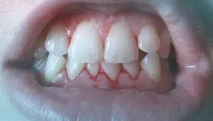
Gingival irritation is a common dental condition affecting the soft tissues of the gums. It can range from mild discomfort to more severe symptoms like
It’s been a busy week in the world of dental news. Missed the headlines? Here’s what’s happened over the past seven days… Sexual misconduct experienced
‘Perfection is a myth’: Hira Arshad talks about balancing dentistry, kids and career goals. I often joke that I have three full-time jobs: being a

Downeast Pediatric Dentistry Clinic, located in Portland, Maine, is a specialized dental practice dedicated to providing comprehensive oral care for children from infancy through adolescence.

Dental hygienists in the U.S. are expressing their concerns on social media after the American Dental Association (ADA) passed a resolution allowing unlicensed practitioners to

Tuft Pediatric Dentistry Clinic, located in the heart of Boston, is a leading provider of specialized dental care for children from infancy through adolescence. The
Main Content Tooth whitening is one of the most sought-after cosmetic dental procedures—but the resulting tooth sensitivity (TS) often deters patients from seeking treatment or

Tega Cay Pediatric Dentistry Clinic, located in Fort Mill, SC, is a dedicated dental practice focused on providing exceptional oral care for infants, children, and

In this era of rapid change, one thing remains constant: the prevalence of oral disease has reached epidemic proportions. According to the World Health Organization’s

The ADA held a virtual congressional briefing to showcase new data and policy insights surrounding dental coverage in Medicaid and Medicare Advantage. The briefing,

Maintaining a dental retainer requires precision. Over-soaking can damage materials; under-soaking may leave bacteria. Many wearers face questions about timing. This guide offers a detailed