
How Much Does Teeth Whitening Cost in North Carolina?
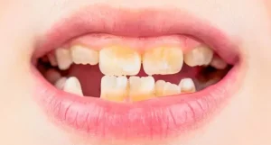
Teeth whitening is a popular cosmetic dental procedure that enhances the brightness of your smile by removing stains and discoloration. If you live in North

Teeth whitening is a popular cosmetic dental procedure that enhances the brightness of your smile by removing stains and discoloration. If you live in North

In fiscal 2019, I applied to Kamakura City for a budget to provide free dental health checkups for pregnant women under the Maternal and Child
‘The law might be complicated, but your role is simple’: Biju Krishnan breaks down the legal complexities of patient consent in dentistry. Ah, consent: the
Having access to mentorships is crucial for the development of young oral surgeons and dentists, providing them with key skills to succeed. The resources and

A 49-year-old male patient was arrested on the spot for punching a male dentist in the face at a dental clinic in Tomakomai City, Hokkaido.
Main Content Modern dental procedures have significantly improved the quality and durability of crowns and bridges. For dental practitioners, ensuring that these restorations last long

NEWPORT, Wales: Organised by the British Orthodontic Society, the 2025 British Orthodontic Conference (BOC) promises to bring together the entire UK orthodontic community. This year,
Dental assistants have the highest annual mean wage in the state government sector, according to data from the Bureau of Labor Statistics. The average annual

Teeth whitening is a popular cosmetic dental procedure that helps brighten your smile by lightening the color of your teeth and removing stains or discoloration.

Dental insurance is essential for maintaining your oral health and protecting you from unexpected dental expenses. However, choosing the right dental plan and adding it
Thrive Dental & Orthodontics has opened a new branch location in Dallas. The practice is led by Nathan Coughlin, DDS, who is the founder and

Dental crowns are a common treatment for restoring damaged or decayed teeth. Many people are curious about how often dental insurance covers crowns. If you