
What Do Doctors Do for Cavities
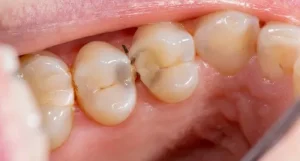
Cavities, also known as dental caries or tooth decay, are one of the most common dental problems people face. These tiny holes in the teeth

Cavities, also known as dental caries or tooth decay, are one of the most common dental problems people face. These tiny holes in the teeth
A coalition of more than 200 health professional organizations and research bodies backed the safety and effectiveness of water fluoridation, according to an April 15
Salt Lake City-based Nuvia Dental Implant Center has opened a practice in Louisville, Ky., its first location in the state. Nuvia practices provide patients with
Wyoming saw the largest decrease in the average annual wage for general dentists from 2023 to 2024, according to data from the Bureau of Labor

Teeth whitening is a popular cosmetic dental procedure that enhances the brightness of your smile by removing stains and discoloration. If you live in Louisiana

NEW HANOVER COUNTY, N.C. — Smart Start of New Hanover County has received a grant aimed at improving dental health education for young children. The

Suffolk Pediatric Dentistry and Orthodontics Clinic is a leading dental practice dedicated to providing exceptional oral health care for children and adolescents. With a rich

The American Academy of Pediatric Dentistry (AAPD), the leading authority on children’s oral health, is joined by 250 of the foremost health professional organizations and
A trio of Tokuyama’s award-winning composites offers clinicians simplified shade matching, superior esthetics and polishability, and successful, long-term results What can you not live

Teeth whitening is a popular cosmetic dental procedure that can significantly enhance your smile by removing stains and discoloration. If you live in Kansas and

Sponsored – Lifestyle Consultant Scott DeFalco talks to us about a very effective teeth whitening product called “Power Swabs”. Studies show that whiter teeth can

Dental insurance is an important part of maintaining good oral health. For a single person, understanding the cost of dental insurance can help with planning