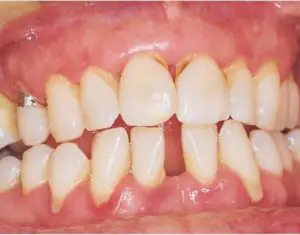
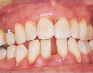
The link between gum disease and oral cancer
Researchers have studied the possible links between the bacteria that cause gum disease and the progression of oral cancer The team from the University of Plymouth
Researchers have studied the possible links between the bacteria that cause gum disease and the progression of oral cancer The team from the University of Plymouth

Patients with periodontitis have a greater likelihood for hypertension, according to researchers at the University College London Eastman Dental Institute. “We observed a linear association.
People with periodontitis have a greater likelihood of high blood pressure (hypertension), according to a recent study published by scientists at UCL Eastman Dental Institute

The FDI World Dental Federation (FDI) says that it welcomes the United Nations’ commitment to strengthening oral health in its UN Political Declaration on Universal

People with undetected glucose disorders run a higher risk of both myocardial infarction and periodontitis, according to researchers at the Karolinska Institutet in Sweden, who
People with undetected glucose disorders run a higher risk of both myocardial infarction and periodontitis, according to a study by Swedish researchers The results demonstrate
Dentists can play a greater role in the detection of some general health conditions, the Faculty of Dental Surgery says. The suggestion comes with growing

Researchers at the University of Connecticut School of Dental Medicine have received a $1.5 million, four-year grant from the National Institute of Dental and Craniofacial

Good oral hygiene may make a difference in preventing and managing lupus and other illnesses, according to researchers at the Oklahoma Medical Research Foundation (OMRF)
Treating gum disease could help people with type 2 diabetes manage their blood glucose levels and may reduce their risk of diabetes-related complications, a study
When fearful patients who have avoided the dentist for years come to the dental office reporting pain, the dental team often has to sooth patient
Crowns have been used in dentistry for more than 100 years, with more than 37 million more placed each year in the United States, according