
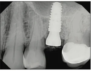
Predictable Sinus Augmentation: Viable Options for the General Practitioner
INTRODUCTION Reconstruction of edentulous areas with dental implants is a viable alternative to conventional dental procedures and has become rather mainstream within the profession and










