
The Ceralog® Ceramic Implant System By Camlog
Excellence in Metal-free ImplantsCAMLOG PRESENTS THE CERALOG® CERAMIC IMPLANT SYSTEM THE CERALOG® CERAMIC IMPLANT SYSTEM comes at a time when the demand for aesthetics &

Excellence in Metal-free ImplantsCAMLOG PRESENTS THE CERALOG® CERAMIC IMPLANT SYSTEM THE CERALOG® CERAMIC IMPLANT SYSTEM comes at a time when the demand for aesthetics &

One-piece Zirconia Dental ImplantsZiBone Zirconia Implant is a One-piece ceramic implant made with extremely biocompatible Zirconia, suitable for most patients. Through thorough preliminary assessment, patients

white SKY: THE METAL-FREE IMPLANT Welcome to the world of Metal-free Zirconia dental implants, “Made in Germany” Reliable Aesthetics with whiteSKY dental implants The whiteSKY zirconia

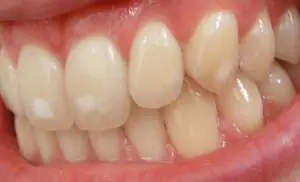
Dental Fluorosis. The Cause to Permanent Staining of Teeth What is Dental Fluorosis? Have you come across people or are you one of them with

Easy Home Remedies for the Perfect Set of Bright White Teeth WHAT CAUSES YELLOWNESS OF TEETH? The yellowness of teeth hasn’t just been associated with

Causes and Solutions for Bad Odour of MouthNot feeling so-fresh while on a date, at job interview or just while talking to friends and family?
World’s First Virtual Ceramic Implant Congress 2020 CERAMIC IMPLANTS: WHEN, WHY, WHERE?Sneak Peek into the Biggest Virtual Ceramic Implantology Event of 2020 November 13, 2020

THE WORLD’S FIRST VIRTUAL CERAMIC IMPLANT CONGRESS HAS BEEN ORGANIZED BY: The International Academy of Ceramic Implantology ( IAOCI) & The American Ceramic Society (ACerS)In

What are Mouthguards? What are they Used for? What are Mouthguards? Accidents are bound to happen when engaging in athletics. This is where mouthguards

The Colour of your Gums. Are your Gums having the right colour? What should the ideal colour of gums be? The colour of the gums

Risks and precautions of Dental Diseases as a Diabetic What dental diseases are you prone to if you have diabetes? Dental diseases are a part and
A gateway to your complete oral health Although a commonly known fact but quite often neglected too is the importance of oral hygiene. It goes