Real-time AI platform offers clinicians a ‘second set of eyes’ to detect early signs of decay

LAYLA LOHMANN, DDS
Dr. Lohmann graduated from the University of Oklahoma with a bachelor’s degree of zoology in biomedical sciences. She then earned a DDS with special distinction from the University of Oklahoma College of Dentistry. In addition to practicing at Dallas Dental Group in Dallas, TX, she is cofounder and clinical director of Apex Dental Partners, a group practice organization with over 250 providers that serves more than 200,000 active patients in over 54 locations each year. The organization uses a nonbranded, private practice model that centers around a long-term doctor-patient relationship. She participates in the organized dentistry tripartite of the Dallas County Dental Society, Texas Dental Association, and American Dental Association.
Dr. Layla Lohmann, cofounder and clinical director of Apex Dental Partners, shares how the vibrant, colorful images from Pearl’s Second Opinion AI platform help her detect more instances of early decay. This allows her to confidently offer patients noninvasive treatment to preserve their natural tooth structure. Here, she shares how the real-time AI tool also enhances patient conversations and boosts treatment acceptance.

Before making Second Opinion an integral part of my workflow, I had never used an AI platform to review x-rays. But now, Second Opinion would be the first thing I’d reach for in an office emergency. As cofounder of an education- and technology-based DSO, we pride ourselves on finding ways to make proactive, preventive care more accessible to our providers. And the Second Opinion AI platform is a big part of that goal.
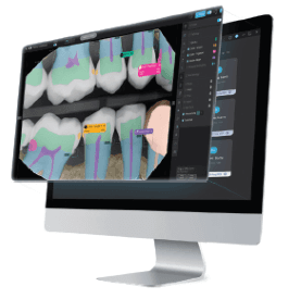
Second Opinion is a second set of eyes that automatically detects pathologies and treatable conditions on x-rays, uncovering 37% more early-stage disease than traditional x-rays. The human eye can only detect 30 to 50 shades of gray, but Second Opinion can detect hundreds more. Color images are more vibrant than typical gray x-rays, so it’s much more impactful when I discuss treatment with my patients. Everything is better in color.
I can reduce oral disease in my patients’ lives by leveraging Second Opinion as a blind spot monitoring tool for early detection. It allows me to be proactive; detect decay quicker; offer preventive, noninvasive treatments; and reduce the economic burden on my patients.

Getting Patients to See the Unseen
Before Second Opinion, I’d discuss an x-ray with my patient, and they’d say, “I can’t really see it, but I believe you.” Now, they understand what the x-ray is showing, and they trust my diagnosis. It’s become a conversation about their condition—no convincing, no defending. Sharing images from Second Opinion has increased my case acceptance from 22% to 55%.
It’s also boosted patient compliance. I’ve even had patients request a scan so they can see how their conditions have progressed or improved over time. They’re much more interested in their oral health.
Second Opinion helps me deliver on my patient promise for more effective preventive care. If we don’t leverage this technology, we’re only going to see 30 shades of gray. I sleep better at night knowing I’m using a technology that fosters a preventive approach to treatment and helps patients better understand their conditions. It’s an incredible tool.

