
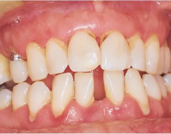
The FDI Digital Disease Profile Assessment tool is a suitable resource for oral professionals who want to screen their patients for mild, moderate, or severe periodontitis in their daily dental practice, according to an international team of researchers.
The tool is an online questionnaire that asks seven questions related to age, smoking status, diabetes status, tooth loss due to periodontal diseases, the extent of heavy plaque deposits, the number of tooth sites with bleeding on probing, and probing depth.
Based on the responses to these questions, the tool calculates the severity of periodontitis and offers recommendations for treatment. It also provides downloadable instructional materials for patients to use to manage their specific level of disease.
The successful management of patients with periodontitis so they achieve predictable treatment outcomes and long-term health is a significant challenge, reports the FDI World Dental Federation.
Periodontal conditions significantly affect oral health and have enormous socioeconomic impacts and healthcare costs, the FDI said. They also can have a negative impact on well-being and quality of life, leading to serious consequences such as problems with chewing, speaking, and tooth loss, the FDI continued.
The Digital Disease Profile Assessment tool aligns with the 2018 classification scheme for periodontal and peri-implant diseases and the S3 Level Clinical Practice Guideline for the treatment of Stage I-III periodontitis, released by the European Federation of Periodontology.
The tool was developed by the FDI Global Periodontal Health Project (GPHP) Task Team
The FDI launched the Global Periodontal Health Project in October 2015 to reduce the burden of periodontal disease by raising awareness of its impact and engaging the public, oral health professionals, and other health professionals, educators, and policymakers in promoting periodontal health. It is supported by Procter & Gamble.
The study, “Evaluation of the FDI Chairside Guide for Assessment of Periodontal Conditions: A Multicentre Observational Study,” was published by the International Dental Journal.
Related Articles
Toothpaste Improves Periodontitis Symptoms
Gum Disease Linked to COVID-19 Complications
Dental Hygiene Treatment Intersects With COVID-19 Prevention


