/
/
Enhancing Geriatric Health Through Better Oral Care: Addressing the Urgent Need for Action

Enhancing Geriatric Health Through Better Oral Care: Addressing the Urgent Need for Action

Angie Stone stands out as a pioneer in advancing geriatric health through the lens of dentistry. As both a dental hygienist and brain longevity specialist, Stone’s unique expertise offers invaluable insights, particularly through her book, Dying from Dirty Teeth: Why the Lack of Proper Oral Care Is Killing Nursing Home Residents and How to Prevent It. This publication sheds light on a critical issue—how neglected oral hygiene in elderly populations often leads to severe health complications and preventable deaths.

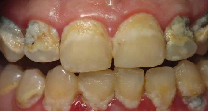
Stone’s deep emotional connection to her work is driven by firsthand experiences with patients suffering from the consequences of poor oral care. These stories motivated her to write a book that not only highlights the gravity of the situation but also empowers readers with a hopeful message: though the problem is immense, solutions are within reach. Dying from Dirty Teeth is filled with compelling statistics and research that demonstrate how inadequate oral hygiene in older adults significantly exacerbates conditions that can lead to death. Diseases such as aspiration pneumonia, heart disease, stroke, diabetes, chronic obstructive pulmonary disease (COPD), and dementia have all been linked to poor oral health in the elderly.

In nursing homes and other long-term care settings, the failure to prioritize daily oral care is more than a quality-of-life issue—it can be a matter of life and death. Aspiration pneumonia, which is largely preventable with proper oral hygiene, remains one of the leading causes of death among older adults. Contributing factors include the high cost of dental care, staffing shortages, and a lack of proper training for caregivers. Beyond the physical health risks, inadequate oral care also diminishes quality of life. Pain, difficulty eating, and social isolation are common consequences. Infected gums, loose teeth, and painful conditions make simple tasks—such as eating, speaking, and smiling—challenging and uncomfortable. By addressing these oral health concerns, we not only reduce the risk of death but also restore dignity and comfort to elderly individuals.

For those dedicated to prevention, Stone’s work provides a valuable roadmap for action. Dental hygienists are in an ideal position to confront this issue head-on. Recent changes in legislation in many states now allow dental hygienists to offer preventive care in nontraditional settings, either independently or through collaborative agreements with dentists. This shift presents an opportunity for dental professionals to directly impact the oral health of elderly patients in residential care facilities.

Though dental offices may not always be equipped to handle patients with special needs, there are ways to prepare. Stone emphasizes the importance of training in transfer techniques, obtaining memory care certifications, and adapting communication methods to better serve elderly patients with cognitive impairments.

Collaboration with Certified Nursing Assistants (CNAs) is another crucial step. CNAs are the primary caregivers in long-term care settings, yet most lack proper oral care training. By implementing specialized training programs, dental professionals can equip CNAs with the knowledge and skills to provide essential daily oral care for elderly residents. These programs should cover the connection between oral health and systemic conditions, infection control basics, and practical techniques for caring for seniors’ teeth and gums. Topics should include proper positioning for brushing, gentle cleaning methods, the use of xylitol, and the appropriate use of toothettes for patients who have difficulty with traditional brushing.

By addressing these gaps in care and education, we can significantly improve the oral health of nursing home residents, reduce health risks, and enhance the overall quality of life for elderly individuals.

Related topics: 

Tags: dental carediseaseteethtooth Read More

WhatsApp