
Bioengineers and dentists from the UCLA School of Dentistry have developed a hydrogel that is more porous and effective in promoting tissue repair and regeneration compared to hydrogels that are currently available.
Once injected in a mouse model, the hydrogel induces migration of naturally occurring stem cells to better promote bone healing. Current experimental applications using hydrogels and stem cells introduced into the body or expensive biological agents can come with negative side effects.
The researchers say their findings suggest that in the near future, the next generation of hydrogel systems could greatly improve current biomaterial-based therapeutics to repair bone defects.
Hydrogels are biomaterials made up of a 3-D network of polymer chains. Due to the network’s ability to absorb water and its structural similarities to living tissue, they can be used to deliver cells to defective areas to regenerate lost tissue.
However, the small pore size of hydrogels limits the survival of transplanted cells, their expansion, and new tissue formation, making them less than ideal for regenerating tissue.
One material that has caught on in the field of biomaterials is the naturally occurring mineral, clay, which has become an ideal additive to medical products with no reported negative effects. Clay also has been shown to be biocompatible and is readily available.
The clay is structured in layers, with the surface having a negative charge. The unique layered structure and charge were important to the researchers, as their hydrogels had a positive or opposite charge.
When the hydrogel was inserted into the clay layers, through a process called intercalation chemistry, the end result was a clay-enhanced hydrogel with a much more porous structure that could better facilitate bone formation.
Once the researchers had their clay-enhanced hydrogel, they used a process called photoinduction, or the introduction of light, to turn their new biomaterial into a gel, which would make it easier to be injected into their mouse model.
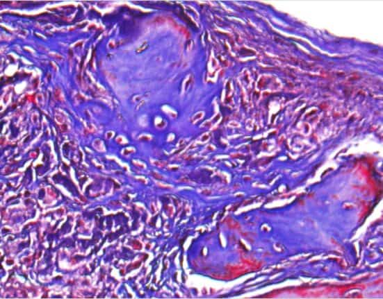
The mouse model had a non-healing skull defect that the researchers injected with their clay-enhanced hydrogel. After six weeks, the model showed significant bone healing through its own naturally occurring stem cell migration and growth.
“This research will help us develop the next generation of hydrogel systems with high porosity and could greatly improve current bone graft materials,” said lead author Min Lee, PhD, professor of biomaterials science and a member of the Johnson Comprehensive Cancer Center.
“Our nanocomposite hydrogel system will be useful for many applications, including therapeutic delivery, cell carriers, and tissue engineering,” said Lee.
The researchers say that injectable combinations of living cells and bioactive molecules using hydrogels would be a preferred medical application to treat unhealthy or damaged areas of the body rather than more invasive surgery.
Future research is planned to learn how the physical properties of nanocomposite hydrogels affect the migration of cells and their function as well as the formation of blood vessels.
The study, “Microporous Methacrylated Glycol Chitosan-Montmorillonite Nanocomposte Hydrogel for Bone Tissue Engineering,” was published by Nature Communications.
Related Articles
Hydrogel Keeps Teeth Alive After Root Canals
Startup’s Prototype Gel Regrows Enamel and Halts Decay
Scaffold Uses Growth Factor to Improve Periodontal Regeneration


