A Case Report on a Novel Composite Material for Esthetic Use
John Kerns & Arndt Guentsch, Marquette University School of Dentistry. Milwaukee, WI , USA.

Introduction
Of chief concern to dental practitioners and patients alike are conservative techniques to save tooth structure, restoration ease of placement, and ideal esthetic results, including proper shade, natural translucency, and minimal transition visibility between tooth and restoration. Kettenbach Dental has touted Visalays Fill and Visalys Flow radiopaque nano-hybrid-fill composite to achieve such results predictably without compromising restoration stability. This report seeks to evaluate treatment success with their composite pertaining to ease of placement, restoration stability, and esthetics.
Case 1
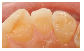
A 69-year-old female presented with #7 incisal fracture, which was esthetically displeasing to the patient, with a defective lingual composite restoration. Due to the size and location of the fracture and lesion, and in accordance with patient request, a resin restoration was indicated .

Anterior Incisal Fracture Restoration
Clinical examination of the lateral incisor #7 revealed non-endodontic involvement of the fractured margin (Fig. 1). Endodontic testing, including cold/hot, percussion, and palpation testing revealed tooth vitality. Enamel craze lines and minor incisal chipping of adjacent teeth #6, #8, and #9 suggested habitual bruxing and clenching. Occlusal stability and contacts were assessed prior to restoration commencement
and rubber dam placement. Occlusal markings revealed contacts on #7 and adjacent teeth which were recorded to ensure recreation.
Shade selection occurred prior to rubber dam placement with the wettened tooth. Per the recommended Flex Shade system accompanying Visalys Fill and Visalys Flow, shade A2 was selected. A rubber dam was placed to achieve adequate isolation and airway protection.
The defective lingual composite was removed using carbide burs with a high-speed handpiece. Fracture margins and preparation internal features were refined using fine-diamond burs. After ensuring rounded preparation features, a minor circumferential bevel (<1.0mm) was placed to aid in adequate composite bonding and an esthetic tooth-restoration transition. The caries-free preparation measured <1.5mm in depth (Fig. 2).

The preparation enamel and dentin were first etched for total 30 sec. and 15 sec., respectively (Scotchbond Total Etch with 37% phosphoric acid), rinsed, and dried but not desiccated. Bonding agent iBond Universal by Kulzer was placed on the entire preparation, rubbed with a Microbrush for 20 sec., air thinned for 5 sec. to produce a glossy appearance of the preparation, and light cured for 10 sec. (LED polymerization light intensity: 1200 mW/cm2 ).
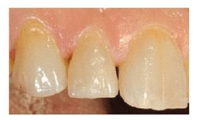
A thin (<0.5mm) layer of Visalys Flow shade A2 was applied to the dentin surfaces of the preparation and light cured for 20 sec. Visalys Fill shade A2 was then applied with composite resin placement instruments and cured for 20 sec. in incremental layers (<2mm). Finishing diamond burs were utilized prior to rubber dam removal for margin adjustments. Super Snap polishing discs and Enhance Finishing and Polishing resin finishers with Prisma Gloss Extra Fine Paste were used for final polishing adjustments. The rubber dam was removed, proper interproximal and occlusal contacts were verified, and patient satisfaction with feel and esthetic appearance was confirmed (Fig.3).



Case 2
A 46-year old female presented with a #30 distal primary carious lesion.
Posterior Carious Lesion DO Restoration
Clinical and radiographic exam revealed an interproximal carious lesion distal of #30 (ICDAS1 Code 4). Tooth vitality was confirmed. Additionally, pitting of cusp tips suggested gastroesophageal reflux disease (GERD)2 . Occlusal contacts were again marked. Shade selection and subsequent rubber dam placement occurred.
A high-speed diamond bur was used to access the lesion, and a slow speed carbide bur was used for caries excavation. As decay was completely removed as confirmed by visual and tactile inspection, an occlusal preparation extending throughout the entire central groove was deemed unnecessary to aid in conservation of tooth structure (Fig. 4). After adequate retention and resistance forms were achieved with consideration of proper modern bonding techniques, the preparation etch, prime, and bond sequence was carried out as previously described.
A thin (<0.5mm) layer of Visalys Flow shade A3 was applied on the pulpal and axial internal walls and light cured for 20 sec. Visalys Fill shade A3 was applied and incrementally cured within a Triodent matrix band. Minor marginal discrepancies were smoothed with high-speed diamond burs. After the rubber dam was removed, the interproximal contacts were confirmed, and occlusal contact locations and extents were made identical to contact markings pre-restoration commencement. After polishing as described, patient satisfaction was confirmed.

Considerations of Use
Visalys Flow and Visalys Fill nano-hybrid composite provided ideal handling during application with composite resin instruments and during polishing. While high-speed diamond burs and polishing instruments were used to perfect marginal transition, their use was minimal, as the composite could be optimally contoured prior to curing.
Both restorations were placed in high stress areas as the patient presented with occlusal trauma in the coronal portions of the teeth. With consideration of the #7 incisal restoration, Visalys Flow and Visalys Fill enabled esthetic contouring and finishing. Shade options also provided satisfying visual outcomes, especially confirmed by the patient.
Conclusion
Nano-hybrid composite Visalys Fill and Visalys Flow enabled conservative and esthetically pleasing restorations of an anterior incisal fracture and a posterior interproximal carious lesion. Ideal margin transition, effective handling of the composite, restoration integrity, and patient satisfaction are essential to success, and this composite fulfilled these expectations.
References
1 Gugnani N, Pandit IK, Srivastava N, Gupta M, Sharma M. 2011. International caries detection and assessment system (icdas): A new concept. Int J Clin Pediatr Dent. 4(2):93-100.
2 Lussi A, Hellwig E. 2006. Risk assessment and preventive measures. Monographs in oral science.20:190-199.

