
Can I Use Dental Insurance for Orthodontics?
When it comes to dental care, many patients are familiar with the fact that their dental insurance can help cover routine visits, cleanings, and treatments.

When it comes to dental care, many patients are familiar with the fact that their dental insurance can help cover routine visits, cleanings, and treatments.

Dental implants are one of the most effective and reliable solutions for replacing missing or damaged teeth. If you are considering dental implants in South

Dental fillings are a common procedure used to restore teeth that have been damaged due to decay. Among the many materials available, dental amalgam remains

A shortage of available dental appointments in the UK, affecting 2.2 million people in need of urgent care, could lead many to resort to outdated

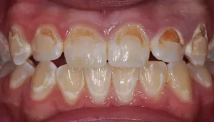
Cavities, or dental caries, are one of the most common dental issues, affecting people of all ages. However, cavities do not form overnight. The process

Sensitive teeth can make teeth whitening a challenge. Many of the whitening treatments on the market can cause discomfort or irritation for individuals with this

February marks National Children’s Dental Health Month, drawing attention to the concerning issue of dental health among young children. A recent survey from the University
The North of England Dentistry Show 2025 is only a week away! Find out what’s in store and plan your visit to Manchester now. The

A new dental hygiene program at Front Range Community College in Fort Collins is making strides toward diversifying Colorado’s dental workforce while providing much-needed services

Understanding the difference between dental insurance and health insurance is crucial for making informed decisions about your healthcare. While both types of insurance offer protection

Braces are a common and effective solution for correcting various dental issues such as misaligned teeth, overbites, underbites, and crooked teeth. The process of wearing

When it comes to dental care, there are many questions that people often ask, particularly when it comes to the treatment of wisdom teeth. One