Cavities, or dental caries, are one of the most common dental issues, affecting people of all ages. However, cavities do not form overnight. The process of tooth decay starts long before the actual hole appears in the tooth. Pre-cavities, or early tooth decay, are the initial signs of damage to the enamel, the protective outer layer of the tooth. Understanding what pre-cavities look like and how to identify them is essential for preventing full-blown cavities. In this article, we will explore what pre-cavities look like, how to spot them, and the steps you can take to reverse the damage before it turns into a full cavity.
What Are Pre-Cavities?
Pre-cavities refer to the early stages of tooth decay. During this stage, the enamel has not yet formed a hole, but the minerals in the tooth have been weakened by acids produced by bacteria. If left untreated, these weakened areas can continue to decay and eventually lead to the formation of cavities. The good news is that pre-cavities can often be reversed through proper dental care, including fluoride treatments and changes in diet and habits.
Unlike full-blown cavities, which are usually visible as holes in the teeth, pre-cavities often show more subtle signs.
Understanding these signs can help you take action early to protect your teeth from further damage.
Signs of Pre-Cavities
Recognizing pre-cavities is not always easy, especially because they often appear as small, subtle changes in the enamel.
However, there are a few key signs to look out for. These include:
1. White Spots on the Teeth
One of the most common indicators of pre-cavities is the appearance of white spots on the teeth. These spots are usually seen on the smooth surfaces of the teeth, particularly near the gum line or on the chewing surfaces. The white spots appear because the enamel has begun to lose minerals, a process known as demineralization. This loss of minerals weakens the enamel and causes it to appear lighter in color.
The white spots may be rough or chalky to the touch, and they might not be noticeable at first, especially if they are on the back teeth. Over time, however, they can become more pronounced and may eventually develop into cavities if not addressed. In many cases, these white spots can be reversed if the decay is caught early and treated with fluoride.
2. Sensitivity to Hot and Cold
If you experience sensitivity to hot or cold foods and beverages, this could be a sign that the enamel is starting to break down. While this sensitivity is not always caused by pre-cavities, it can be a warning sign that the enamel is becoming weakened. As the enamel erodes, it exposes the underlying layer of the tooth, called the dentin. Dentin is much more sensitive than enamel, so when it becomes exposed, it can cause discomfort when eating or drinking hot or cold substances.
If you notice increased sensitivity, it’s important to visit your dentist for an evaluation. The sensitivity may be due to pre-cavities or other dental issues that require attention.
3. Staining of the Teeth
As pre-cavities progress, the enamel may begin to stain more easily. This is because the weakened enamel is more porous, allowing food and drink particles to penetrate the tooth. Staining often occurs in the early stages of decay, especially if the person consumes a lot of staining foods, such as coffee, tea, or sugary drinks.
In the case of pre-cavities, the staining may not be uniform. Instead, it may appear as spots or patches of discoloration that stand out against the surrounding healthy enamel. If you notice unusual stains on your teeth, it could be a sign that the enamel is starting to break down, and pre-cavities are forming.
4. Roughness or Pitting of the Tooth Surface
As enamel breaks down, it can become rough or pitted. These rough patches may be noticeable when you run your tongue over your teeth.
In the early stages of decay, the roughness may not be very pronounced, but it can become more obvious as the decay progresses.
If you feel any uneven areas or rough patches on your teeth, it’s important to consult your dentist, as this could be an indication of pre-cavities or other dental issues.
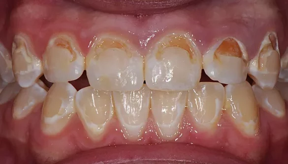
5. Dark Spots on the Teeth
While white spots are often the first sign of pre-cavities, they may eventually turn into dark spots. This happens as the enamel continues to demineralize, and the tooth begins to discolor. These dark spots may appear brown, black, or gray, and they may be an indication that the decay is worsening. Dark spots often indicate that the enamel has become severely weakened, and it is more likely that a full cavity will develop if the decay is not treated promptly.
Causes of Pre-Cavities
Pre-cavities are caused by a combination of factors that lead to the weakening of the tooth enamel. The most common causes include:
1. Poor Oral Hygiene
The primary cause of tooth decay, including pre-cavities, is the accumulation of plaque and bacteria on the teeth. Plaque is a sticky film of bacteria that forms on the surface of the teeth. When not removed through regular brushing and flossing, plaque can interact with food particles, especially sugars and starches, to produce acids that erode the enamel.
If plaque is allowed to build up around the teeth, it can lead to the formation of white spots and other signs of pre-cavities.
Brushing your teeth twice a day with fluoride toothpaste and flossing daily can help prevent the buildup of plaque and protect your enamel.
2. Poor Diet
A diet high in sugar and acidic foods can contribute to the development of pre-cavities. Sugar feeds the bacteria in the mouth, which produce acids that attack the enamel. Similarly, acidic foods and beverages, such as citrus fruits, soda, and vinegar, can erode enamel over time.
Limiting your intake of sugary snacks and acidic drinks can help protect your teeth from the harmful effects of acids and sugars.
Additionally, drinking plenty of water throughout the day can help rinse away food particles and acids from the mouth.
3. Dry Mouth
Saliva plays an important role in neutralizing acids in the mouth and remineralizing the enamel. When you have dry mouth, there is less saliva to protect your teeth. This can lead to an increased risk of tooth decay, including pre-cavities.
Dry mouth can be caused by various factors, including medication side effects, certain health conditions, or dehydration. If you experience dry mouth, it’s important to address the underlying cause and take steps to keep your mouth hydrated, such as drinking water frequently or using saliva substitutes.
4. Lack of Fluoride
Fluoride is a mineral that helps strengthen tooth enamel and protect it from decay. Without adequate fluoride exposure, the enamel may become weaker and more susceptible to demineralization. Fluoride is found in many dental products, such as toothpaste and mouthwash, and it is also often added to drinking water.
If you live in an area without fluoridated water or you do not use fluoride toothpaste, you may be at a higher risk for developing pre-cavities. Your dentist may recommend additional fluoride treatments to help remineralize your enamel and prevent decay.
5. Inadequate Oral Care Habits
Failing to visit the dentist regularly for checkups and cleanings can lead to the development of pre-cavities. Even if you brush and floss regularly, plaque and tartar can still build up in hard-to-reach areas, such as between the teeth or along the gum line. Professional cleanings help remove plaque and tartar, reducing the risk of tooth decay.
Regular dental checkups allow your dentist to spot early signs of decay, including pre-cavities, and provide treatment before the damage becomes more severe.
Can Pre-Cavities Be Reversed?
The good news is that pre-cavities can often be reversed if caught early. Fluoride treatments are one of the most effective ways to remineralize the enamel and stop the progression of decay. Fluoride helps restore lost minerals to the tooth enamel, making it stronger and more resistant to acids.
In addition to fluoride treatments, maintaining good oral hygiene and avoiding sugary and acidic foods can help prevent pre-cavities from progressing into full cavities. If you notice any signs of pre-cavities, it’s important to visit your dentist for an evaluation and treatment as soon as possible.
Conclusion
Pre-cavities are the early signs of tooth decay that, if left untreated, can lead to the formation of full cavities. Recognizing the signs of pre-cavities, such as white spots, sensitivity, and staining, is crucial for preventing further damage to the teeth.
With proper oral care, including fluoride treatments and good hygiene practices, pre-cavities can often be reversed, helping you maintain healthy teeth and a bright smile.

