
Does Dental Insurance Cover Pediatric Care?
Dental care is an essential part of a child’s overall health. Just as with adults, children need regular dental checkups, cleanings, and sometimes more advanced

Dental care is an essential part of a child’s overall health. Just as with adults, children need regular dental checkups, cleanings, and sometimes more advanced

Dental implants have become one of the most popular solutions for replacing missing teeth. With the rise in demand for this permanent and reliable tooth

In a move to strengthen the state’s oral health services, eleven new dental graduates have joined the Tasmanian Health Service, helping to meet growing demand

Calcium deposits on dentures are a common problem that many denture wearers face. These unsightly deposits form over time as minerals in the saliva accumulate

Sydney’s leading dental clinic, FY Smile, is setting new standards in dental care with its advanced All on 4 solutions. With state-of-the-art clinics located in

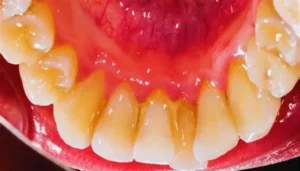
Gingivitis and periodontal disease are two common oral health problems that affect millions of people worldwide. Though they both impact the gums and surrounding tissues,

Braces are a common treatment for individuals seeking to correct misaligned teeth, improve their smile, and address bite issues. On the other hand, crowns are

Dental insurance is a valuable asset for individuals seeking to maintain their oral health without bearing the full financial burden of dental treatments. Like other
With just two weeks to go until the 2025 North of England Dentistry Show, time is running out to secure your tickets. Find out what’s
It’s been a busy week in the world of dental news. Missed the headlines? Here’s what’s happened over the past seven days… NHS dentistry: 700,000

Osteonecrosis of the jaw (ONJ) is a serious and painful condition that can significantly affect the quality of life for patients, particularly those receiving bone

Dental fillings are a common solution for cavities, helping to restore teeth that have been affected by decay. While fillings can significantly improve the health