
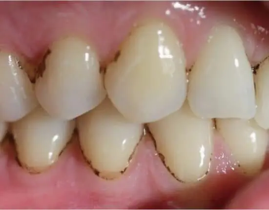
The dark pigmentations that appear around the gums on dental enamel have a bacterial origin, and currently, there is no definitive therapy to remove it entirely. Researchers with the Oral Microbiology Group of the CEU Cardenal Herrera University (UCH) of Valencia, Spain, however, have conducted the first study of the metagenomics of dental black plaque in adults who have it, in collaboration with Microomics Systems SL.
The researchers assessed the efficiency of phototherapy in treating these stains on enamel in previous studies, they said, but knowing the metagenomics of this type of dark plaque of bacterial origin will enable them to progress in their search for definitive treatments for its removal.
In their study, the researchers described and compared the microbial diversity of dental white plaque and the black stains that appeared on 27 adults who were receiving treatment at the CEU UCH University Dental Clinic. The characterization of the taxonomic profile of the samples and comparison of the microbiomes of white and black dental plaque had only been done on children before, the researchers said, who most often suffer from these types of stains.
With this data, the researchers have created the first map of the microbiome of dental black plaque in adults, finding that there is less variety in bacterial species in dental black plaque than in dental white plaque. The five most common bacterial species found in the dental black plaque of adults were from the Capnocytophaga, Leptorichia, Fusobacterium, Corynebacterium, and Streptococcus genuses. The study also made it possible to detect the existence of functional routes among the microbiomes of white and black dental plaque.
The routes of biosynthetic compounds of the heme group are key to the formation of dental black plaque, the researchers said, explaining the black color. The sequestration of iron by the bacteria of the black plaque and its subsequent metabolism toward biosynthetic routes of the heme group are essential for the formation of this type of plaque, the researchers said. Along with new research for its complete description, this finding will make it possible to design treatments that effectively prevent the appearance of dental black plaque, the researchers said.
In 2018, the Oral Microbiology Group at CEU UCH published a study on the use of antimicrobial phototherapy to fight, with light and oxygen, the proliferation of the bacteria that cause the black stains on enamel or dental black plaque. Using a household tooth whitening device, the decreased the size, color, and bacterial colonization of the dental black plaque closest to the gums in the patients who participated.
In previous studies, the researchers also analyzed the risk factors for the appearance of these black stains, such as water with high iron contents of high pH, which is why they recommend consuming mineral water instead of tap water or osmosis water for people who are prone to having these black pigmentations appear on their enamel.
The study, “Dental Black Plaque: Metagenomic Characterization and Comparative Analysis with White-Plaque,” was published by Scientific Reports.
Related Articles
High Iron Content and pH in Water Can Cause Black Stains in Plaque
58% of People Don’t Floss at All
Nanoparticles Stop Plaque and Tooth Decay Before They Start


