
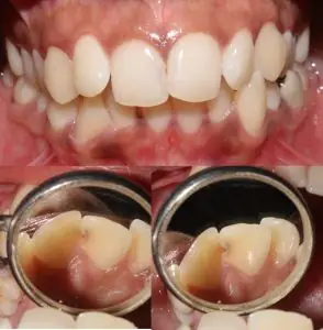
Restoring Class 3 caries along the midline in rotated teeth
Main Content Dr Jibin Karim is the winner of the Silver award for much appreciated cases in the DR Pronto Esthetic Challenge 2, 2021-2022 Abstract

Main Content Dr Jibin Karim is the winner of the Silver award for much appreciated cases in the DR Pronto Esthetic Challenge 2, 2021-2022 Abstract
Main Content Dr Sanjali Manerkar is the winner of the Power house dentistry-Max cases highly applauded award in the DR Pronto Esthetic Challenge 2, 2021-2022
Main Content Dr.Urvashi Tanvar is the winner of the Golden award for applauded cases in the DR Pronto Esthetic Challenge 2, 2021-2022 Introduction In this

Main Content Dr.Bharathi Mahadevaiahis the winner of the Silver award for much appreciated cases in the DR Pronto Esthetic Challenge 2, 2021-2022 Introduction Dental composites

Main Content Dr Priti Lamba was the Mentor of the DR Pronto Esthetic Challenge 3, 2021-2022 This is a case of a 7 year old

Main Content Dr Sonal Yerpude is the winner at 2nd position, jury special mention for DR Pronto Esthetic Challenge 1, 2021-2022 Introduction Class V composite

Main Content -Dr. Kirti Jain, is the winner of the special mention – popular award for DR Pronto Esthetic Challenge 1, 2021-2022 Introduction Cavities, as
Main Content Dr Alpa Savla is the winner at 2nd position, the critics award of excellence for DR Pronto Esthetic Challenge 1, 2021-2022 Introduction Development
Main Content – Dr. Ridyumna Garain is the winner at 3rd position, jury special mention award for DR Pronto Esthetic Challenge 1, 2021-2022 Introduction Discrepancy

Main Content Dr Nikhil Bahuguna was the Mentor of the DR Pronto Esthetic Challenge 1, 2021-2022 Introduction Dental trauma in young adults is one of