Main Content
Dr Jibin Karim is the winner of the Silver award for much appreciated cases in the DR Pronto Esthetic Challenge 2, 2021-2022
Abstract
Dental caries involving proximal surface of the anterior teeth can present both esthetic and restorative challenges, especially if right in the midline. A restorative material which can flow, and can be manipulated as well, can serve as an apt material in such cases. Activa™ Pronto is one such novel material which can be used for esthetic restorations with additional bioactive property, as it releases and recharges calcium, phosphate and fluoride, and is indicated for all classes of cavities. This case report describes one such case of restoring Class 3 dental caries with Activa™ Pronto.
Keywords: case report, class 3, Activa pronto, aesthetic
Introduction
Placement of physiologically contoured, esthetic Class III composite restorations can be a deceivingly difficult procedure. These types of lesions may present with limited clinical access, making traditional composites tough to place without creating marginal voids. Although flowable composites are better suited for this task due to their ease of placement, their use becomes limited when the depth of the preparation is greater than 2 mm from the facial to the lingual aspects. 1 Many flowable composites are being widely used recently with wide range of applications.
Activa™ Pronto is a universal, stackable and shapeable, light cure composite that is strong, durable, wear and fracture resistant, releases and recharges calcium, phosphate and fluoride, and is indicated for all classes of cavities. It is described asthe first light cure composite designed to mimic the properties of natural teeth.2This material has a depth of light cure upto 2.6mm and 70% filler by weight.
This case report describes the restoration of class 3 carious lesion using this novel bioactive material with the aim of achieving optimal esthetic outcome and create a restoration that mimics the natural teeth.
Case Narrative
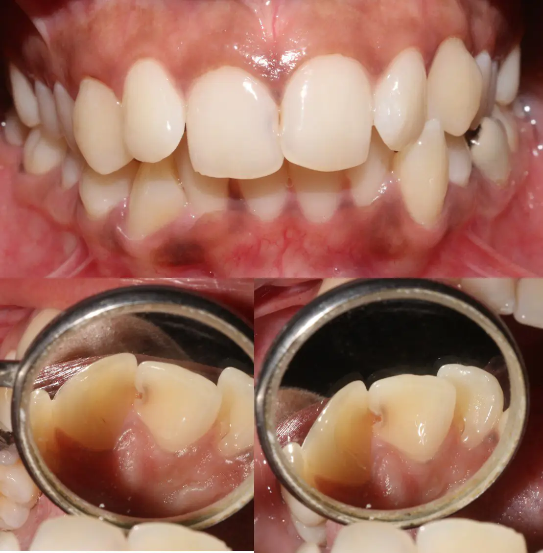
A 22 year old female presented to clinic complaining of decayed upper front tooth. On examination, class 3 carious lesion was noted on 11 and 21. Minor anterior crowding was also noted. (Fig:1 A-C)

Fig 1 A-C: A) Intraoral frontal view- class 3 caries irt 11 and 21 , Anterior crowding ;B and C) caries lesion from palatal view
Caries excavation was done from a palatal approach maintaining the labial shell of enamel intact (Fig 2)

Fig 2
Etching was done using total-etch technique followed by bonding agent, after which matrix band was applied and mesial shelf was created using Activa™ Pronto A2 shade (Fig 3 A-C)

Fig 3: A) Etching B) Matrix band application C) Mesial shelf created
Restoration was completed using Activa™ Pronto A2 shade and finishing and polishing was completed (Soflex disc and Aster compo polishing paste). (Fig 4: A-C)

Fig 4: A) Post – op – Restoration with ActivaPronto B) Post – op palatal view C) Post – op transilluminated
Patient Perspective
Patient’s main concern was the esthetic problem caused by the carious lesion. Optimal aesthetics and function were successfully restored to patient satisfaction.
Conclusion
For many years, it has been a goal to develop composite restorative materials that facilitate a more simplified, less technique-laden approach to clinical placement. The additional benefit of bioactivity of the material can be advantageous to the patient as well as the clinician in providing long lasting esthetic restorations. This, combined with its high polishability and shade-matching ability, makes Activa™ Pronto a high-quality restorative option for a variety of clinical applications.
Acknowledgements
-
MM Dental Associates
-
Dept of Conservative Dentistry and Endodontics, Dayananda Sagar College of Dental Sciences, Bangalore
References
-
Roggendorf MJ, Krämer N, Appelt A, et al. Marginal quality of flowable 4-mm base vs. conventionally layered resin composite. J Dent. 2011;39(10):643-647.
-
Activa Pronto, Pulpdent, Product sheet

