Infective endocarditis (IE) is on the rise in England, according to researchers at the University of Sheffield School of Clinical Dentistry. After stable rates between
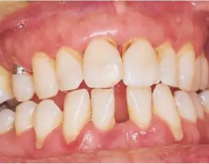
Periodontopathogen antibodies in the bloodstream indicate exposure to periodontal pathogens. Inflammation such as that present in periodontal disease modifies lipoprotein metabolism and composition. Now, researchers
A team of researchers from multiple universities has uncovered how calcium (Ca) is transported in the formation of dental enamel, which could lead to enamel