BSPD appoints new president
Oosh Devalia took over as president of the British Society of Paediatric Dentistry (BSPD) at its Annual Scientific Conference this month. On 11 and 12
Oosh Devalia took over as president of the British Society of Paediatric Dentistry (BSPD) at its Annual Scientific Conference this month. On 11 and 12

The British Society of Paediatric Dentistry (BSPD) and the Faculty of Dental Surgery (FDS) of the Royal College of Surgeons (England) have awarded a pair

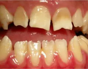
The United Kingdom’s second National Epidemiology survey of the oral health of 3-year-olds shows virtually no change since the first survey in 2013, and members
The British Society of Paediatric Dentistry has voted to make full membership of the Society open to all GDC registrants who are interested in furthering children’s
Michael Watson assesses the proposals from a recent health green paper, and what it could mean for the future of dentistry and oral health, especially
Emma Morgan discusses how young dentists can get involved with Dental Check by One Dental Check by One (DCby1) is a campaign led by the
A new study welcomed by the British Society of Paediatric Dentistry finds that the treatment of compromised first permanent molars (cFPM) in young people varies considerably
Liverpool University’s School of Dentistry is celebrating the promotion of Sondos Albadri, vice dean of the School, to professor Sondos first joined the University in 2008
The inclusion of children’s oral health in the NHS Long Term Plan – published yesterday has been welcomed by the British Society of Paediatric Dentistry (BSPD) The
Oral hygiene and oral health are particular challenges for people who care for children on the autism spectrum. Fortunately, the British Society of Paediatric Dentistry