Gingivitis is a common and mild form of gum disease (periodontal disease) that causes irritation, redness, and swelling of your gums. It often happens due to poor oral hygiene habits that encourage plaque to form on teeth, irritating the gums. If left untreated, gingivitis can lead to more serious dental problems. Fortunately, there are various treatments for gingivitis, and antibiotics are often part of the solution for managing the condition when it’s more severe. In this article, we will discuss the best antibiotics for gingivitis and their effectiveness.
Understanding Gingivitis
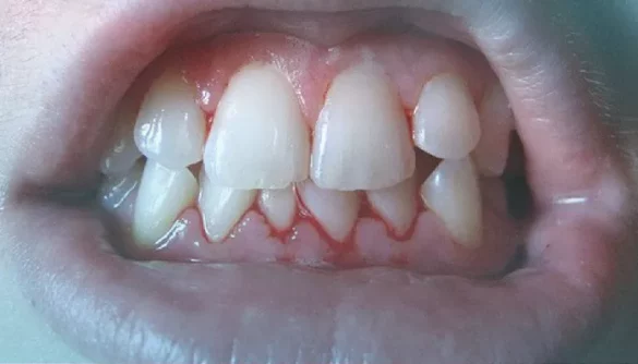
Gingivitis is typically caused by the accumulation of plaque on your teeth. Plaque is a sticky, colorless film of bacteria that forms on teeth after eating. When plaque builds up on your gums, it can cause an inflammatory response in the soft tissue.
This can lead to symptoms such as:
- Red, swollen gums
- Bleeding gums when brushing or flossing
- Bad breath
- Tender gums
If gingivitis is not treated promptly, it can develop into more severe gum disease, called periodontitis, which can lead to tooth loss.
Role of Antibiotics in Treating Gingivitis
Antibiotics are medications that help control bacterial infections. In cases of gingivitis, they can assist in reducing bacterial growth in the gums, helping to manage the inflammation and infection. Antibiotics are typically prescribed when gingivitis is severe or does not improve with traditional treatments such as improved oral hygiene, professional cleanings, and the use of mouthwashes.
The goal of using antibiotics for gingivitis is to reduce the bacterial load in the mouth and support the body’s natural ability to heal the gums.
Best Antibiotics for Gingivitis
There are a few antibiotics that dental professionals may recommend for gingivitis, depending on the severity of the infection and the bacteria involved. Some of the most commonly used antibiotics for gingivitis include:
1. Amoxicillin
Amoxicillin is one of the most commonly prescribed antibiotics for bacterial infections, including gingivitis. This antibiotic is part of the penicillin class and is effective against a wide range of bacteria, including those that commonly cause gum infections.
How It Works: Amoxicillin works by inhibiting the growth of bacteria, preventing them from forming cell walls. This kills the bacteria and helps reduce the infection in the gums.
Effectiveness: Amoxicillin is effective for treating gingivitis, especially when the infection has spread beyond the gums and into the surrounding tissues. It is often prescribed in combination with other treatments such as scaling and root planing (deep cleaning).
Common Dosage: Amoxicillin is usually taken orally, with the typical dose being 500 mg three times a day for 7 to 10 days, depending on the severity of the infection.
2. Metronidazole
Metronidazole is another antibiotic that may be prescribed for gingivitis, particularly if the infection is caused by anaerobic bacteria, which thrive in environments with little oxygen.
How It Works: Metronidazole works by interfering with the DNA of the bacteria, preventing them from replicating and spreading the infection. It is particularly effective against the anaerobic bacteria that are often responsible for gum infections.
Effectiveness: Metronidazole is effective for treating more severe or persistent cases of gingivitis. It is often used in combination with amoxicillin or another antibiotic for broader coverage.
Common Dosage: Metronidazole is typically prescribed in 250 mg doses, taken two to three times daily for about 7 to 10 days.
3. Doxycycline
Doxycycline is a tetracycline antibiotic that is sometimes prescribed to treat gingivitis. It can be used as both an oral medication and in a gel form that can be applied directly to the gums.
How It Works: Doxycycline works by inhibiting protein synthesis in bacteria, preventing their growth and replication. It also has an anti-inflammatory effect that can help reduce gum swelling and bleeding.
Effectiveness: Doxycycline is particularly useful for chronic or recurring gingivitis. Its dual action (antibiotic and anti-inflammatory) makes it a valuable treatment option in reducing gum inflammation.
Common Dosage: Doxycycline is typically taken as 100 mg once or twice daily for 7 to 14 days. In the case of the gel, a dentist will apply it directly to the affected area.
4. Clindamycin
Clindamycin is another option, particularly when the infection does not respond well to other antibiotics. It’s effective against a range of bacteria, including those that can cause gum infections.
How It Works: Clindamycin works by inhibiting bacterial protein synthesis, which prevents bacteria from growing and reproducing.
Effectiveness: Clindamycin can be particularly effective in treating more resistant strains of bacteria that might not respond to amoxicillin or other antibiotics.
Common Dosage: Clindamycin is typically taken at 150 to 300 mg every 6 to 8 hours, depending on the severity of the infection.
When Are Antibiotics Needed for Gingivitis?
Antibiotics are generally reserved for more advanced or persistent cases of gingivitis that do not respond to standard oral hygiene measures. They may also be prescribed if the gingivitis has progressed to a more serious stage of gum disease, known as periodontitis. Your dentist will consider factors such as:
- The severity of your gingivitis
- The presence of any systemic health conditions (e.g., diabetes)
- Your overall oral health and hygiene habits
- Whether the infection is localized or widespread
In many cases, gingivitis can be managed without the need for antibiotics by improving brushing and flossing habits, using antimicrobial mouthwashes, and undergoing professional cleanings.
Antibiotics are typically considered a supplementary treatment for more severe or persistent cases.
Potential Side Effects of Antibiotics
While antibiotics can be highly effective in treating gingivitis, they can also come with some potential side effects, including:
- Nausea or vomiting
- Diarrhea
- Allergic reactions (rash, swelling, difficulty breathing)
- Changes in taste
- Yeast infections (due to disruption of normal bacteria)
It is essential to follow the prescribed dosage and schedule and inform your dentist or doctor if any side effects occur.
Preventing Gingivitis Without Antibiotics
The best way to prevent gingivitis is to practice good oral hygiene.
Here are a few tips to maintain healthy gums and avoid the need for antibiotics:
Brush Your Teeth Regularly: Brush your teeth at least twice a day with fluoride toothpaste. Make sure to brush along the gum line where plaque tends to accumulate.
Floss Daily: Flossing helps remove plaque and food particles that your toothbrush may miss.
Visit Your Dentist Regularly: Regular check-ups and cleanings (every 6 months) are vital for preventing gingivitis.
Use Mouthwash: Antimicrobial mouthwashes can help reduce bacteria in the mouth.
Maintain a Healthy Diet: A balanced diet rich in vitamins and minerals, especially vitamin C, can help support gum health.
Conclusion
Antibiotics can play an essential role in treating severe or persistent gingivitis, especially when the infection doesn’t respond to standard treatments. Amoxicillin, metronidazole, doxycycline, and clindamycin are the most commonly used antibiotics for this purpose. It is important to remember that antibiotics should only be prescribed when necessary, and they work best when combined with proper oral hygiene practices.

