/
/
Do Dental Implants Cure Periodontal Disease?

Do Dental Implants Cure Periodontal Disease?

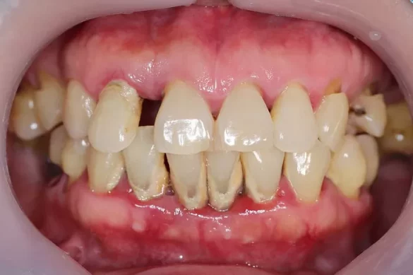
Periodontal disease is a prevalent oral health condition that can cause significant damage to the gums, periodontal ligament, and alveolar bone, potentially leading to tooth loss. Dental implants have emerged as a popular solution for replacing missing teeth. However, it is essential to understand the relationship between dental implants and periodontal disease. Can dental implants truly cure periodontal disease, or do they serve a different purpose in the context of oral health restoration? This article will explore this question in detail.

What is Periodontal Disease?

Causes and Progression

Periodontal disease is primarily caused by the buildup of plaque, a sticky film of bacteria that forms on the teeth. If not removed through regular brushing and flossing, plaque can harden into tartar, which further irritates the gums. Poor oral hygiene habits, smoking, and certain underlying health conditions like diabetes can exacerbate the problem. The disease typically progresses from gingivitis, characterized by red, swollen gums that bleed easily, to periodontitis. In periodontitis, the infection spreads deeper, causing the gums to pull away from the teeth, forming pockets. These pockets can trap more bacteria, leading to further destruction of the periodontal ligament and alveolar bone. For example, a person who smokes and has poor oral hygiene is at a much higher risk of developing severe periodontitis compared to a non-smoker with good oral care practices.

Symptoms and Diagnosis

Symptoms of periodontal disease include persistent bad breath, gum recession (where the gums pull back and expose the tooth roots), tooth mobility (looseness of the teeth), and deepening gum pockets. Diagnosis usually involves a comprehensive dental examination, including measurement of gum pocket depth using a periodontal probe and X-rays to assess bone loss. A dentist may also look for signs of inflammation, such as redness and swelling of the gums. For instance, if a patient complains of bleeding gums and a bad taste in the mouth, the dentist will perform a series of tests to determine if it is due to periodontal disease and how advanced it is.

What are Dental Implants?

Implant Structure and Function

Dental implants are artificial tooth roots made of biocompatible materials like titanium. They are surgically placed into the jawbone. The implant acts as a stable anchor for a replacement tooth, which can be a crown, bridge, or denture. The titanium implant fuses with the jawbone through a process called osseointegration. This provides a strong and durable foundation for the replacement tooth, allowing it to function much like a natural tooth in terms of biting and chewing. For example, a single dental implant can support a single crown, replacing a missing tooth in a seamless manner. The implant mimics the root structure of a natural tooth, distributing the forces of chewing evenly across the jawbone.

Implant Placement Procedure

The implant placement procedure typically involves several steps. First, the dentist will make an incision in the gum tissue to access the jawbone. Then, a hole is drilled into the bone, and the implant is carefully inserted. After placement, the gum tissue is sutured back over the implant. There is a healing period, usually several months, during which osseointegration occurs. During this time, the patient needs to follow specific post-operative instructions, such as avoiding hard foods and maintaining good oral hygiene around the surgical site. For instance, a patient may be advised to eat a soft diet for the first few weeks after implant surgery and use a special mouthwash to keep the area clean.

The Relationship between Dental Implants and Periodontal Disease

Dental Implants Cannot Cure Periodontal Disease

It is important to note that dental implants do not cure periodontal disease. Periodontal disease is an infection and inflammation of the tissues surrounding the teeth, and implants are a tooth replacement option. However, a patient must have periodontal disease under control before considering dental implants. If the disease is active, it can affect the success of the implant. For example, if there is ongoing infection in the jawbone due to untreated periodontitis, the implant may not osseointegrate properly and could fail. The presence of bacteria and inflammation from periodontal disease can prevent the implant from fusing with the bone and may lead to implant rejection or other complications.

Pre-Implant Evaluation and Treatment of Periodontal Disease

Before getting a dental implant, a comprehensive evaluation of the patient’s periodontal health is essential. The dentist will assess the extent of any existing periodontal disease and may recommend treatment. This could include scaling and root planing to remove plaque and tartar from the teeth and root surfaces, antibiotic therapy to control infection, and in some cases, surgical procedures like flap surgery or bone grafting to repair damaged tissues. Only when the periodontal disease is in remission and the oral environment is healthy can the patient be a suitable candidate for dental implants. For instance, a patient with moderate periodontitis may need to undergo a series of non-surgical and surgical treatments over several months to get the disease under control before implant placement can be considered.

Post-Implant Care and Periodontal Disease Prevention

Oral Hygiene for Implant Patients

After getting dental implants, maintaining good oral hygiene is crucial to prevent peri-implantitis, which is an inflammation and infection around the implant. Patients should brush their teeth at least twice a day using a soft-bristled toothbrush and a non-abrasive toothpaste. They should also floss daily, being careful around the implant area. Using an antiseptic mouthwash can also help reduce bacteria in the mouth. For example, a patient with a dental implant should gently brush the implant and the surrounding teeth, ensuring that all surfaces are clean. Flossing can be done with a special floss or an interdental brush designed for implants.

Regular Dental Check-ups for Implant Monitoring

Regular dental check-ups are necessary to monitor the health of the implant and detect any signs of peri-implantitis early.

The dentist will examine the implant site, check for any changes in gum health, and may take X-rays to assess the bone level around the implant. If peri-implantitis is detected, treatment similar to that for periodontal disease may be required, including scaling and root planing around the implant, antibiotic treatment, and in some cases, surgical intervention. For instance, a patient should visit the dentist every six months for a routine implant check-up. If the dentist notices any redness, swelling, or bleeding around the implant, further investigation and treatment will be initiated promptly.

Conclusion

Dental implants do not cure periodontal disease. Periodontal disease is a serious oral health condition that requires proper diagnosis and treatment. Dental implants are a valuable option for replacing missing teeth, but only when the patient’s periodontal health is well-managed. Before implant placement, patients must undergo a thorough evaluation and treatment of any existing periodontal disease. After getting implants, they need to maintain excellent oral hygiene and attend regular dental check-ups to prevent peri-implantitis and ensure the long-term success of the implants.

WhatsApp