A sore tooth can be an uncomfortable and alarming experience. When you feel pain or discomfort in a tooth, it’s common to assume that the culprit is a cavity. After all, cavities are one of the most well-known dental issues. However, not all tooth pain is due to cavities. There are various reasons why a tooth might hurt, and understanding these causes can help you seek the appropriate treatment.
This article will explore whether a sore tooth always means a cavity, the different causes of tooth pain, and how to address them. We will look at how cavities develop, but also consider other dental problems, such as gum disease, tooth sensitivity, and even issues unrelated to the teeth themselves.
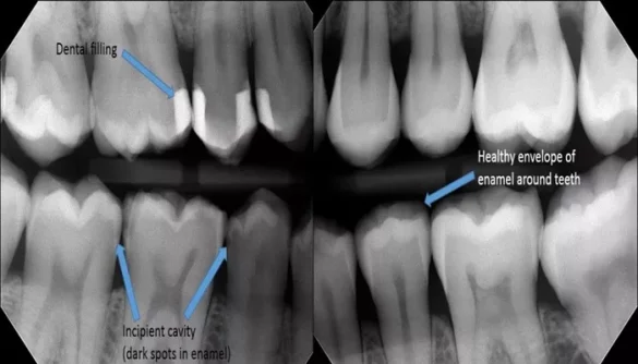
What Are Cavities?
Before delving into whether a sore tooth always indicates a cavity, it’s important to understand what a cavity is and how it develops.
A cavity, also known as dental caries, occurs when the enamel of the tooth is damaged by acids produced by bacteria in the mouth. These bacteria feed on sugars and starches from food, producing acids that slowly wear down the enamel. If left untreated, a cavity can grow larger, causing pain, infection, and eventually tooth loss.
Symptoms of A Cavity
The most common symptom of a cavity is tooth pain, but not everyone with a cavity will experience pain right away. Early-stage cavities may not cause noticeable pain or discomfort, but they can still lead to further damage if not treated. As the cavity progresses, you may notice:
Tooth sensitivity when eating hot, cold, or sweet foods
Visible holes or pits in the teeth
Pain while chewing or biting
Persistent or sharp toothache
If you experience any of these symptoms, it’s important to visit a dentist for an evaluation.
Reasons Why A Tooth Might Hurt That Aren’t Cavities
While cavities are a common cause of tooth pain, they aren’t the only reason you may experience discomfort. There are many other dental and health issues that can lead to a sore tooth. Below are several of the most common causes of tooth pain:
1. Tooth Sensitivity
Tooth sensitivity is a common issue where certain stimuli, such as cold, hot, or sweet foods, cause discomfort. This sensitivity often occurs when the enamel, which is the hard outer layer of the tooth, has worn down. When the enamel wears away, it exposes the softer, more sensitive layer of the tooth called the dentin.
Tooth sensitivity can be caused by:
- Brushing too hard
- Acidic foods and drinks
- Gum recession, which exposes the tooth roots
- Teeth grinding or clenching
- Certain dental procedures
While sensitivity can be annoying and painful, it doesn’t always mean you have a cavity. Desensitizing toothpaste and proper oral hygiene can help alleviate the discomfort.
2. Gum Disease (Gingivitis and Periodontitis)
Gum disease, including gingivitis and periodontitis, can cause tooth pain, especially if left untreated. Gingivitis is the early stage of gum disease, where the gums become inflamed and bleed easily. If left untreated, gingivitis can progress to periodontitis, which involves more severe gum inflammation, loss of bone around the teeth, and pockets of infection.
Symptoms of gum disease include:
- Red, swollen, or bleeding gums
- Pain while chewing
- Persistent bad breath
- Sensitive teeth, especially to touch
If you suspect your tooth pain is related to gum disease rather than a cavity, visiting a dentist is crucial. Gum disease is treatable with professional cleaning and improved oral hygiene practices.
3. Tooth Fractures or Cracks
A tooth fracture or crack can cause pain, especially when chewing or biting down. Cracks can be caused by trauma, such as a blow to the mouth, or by wearing down over time due to aging, grinding, or biting hard objects.
Symptoms of a cracked tooth include:
- Pain when chewing or biting
- Sensitivity to hot or cold
- Swelling in the surrounding gum area
If a tooth is cracked, it can lead to further complications, such as infection, if not treated promptly. A dentist will examine the tooth and may recommend treatments such as bonding, a crown, or root canal therapy, depending on the severity of the crack.
4. Abscessed Tooth
An abscessed tooth is an infection that occurs at the root of the tooth or in the gums surrounding it. It usually happens when bacteria invade the pulp (the soft tissue inside the tooth), causing an infection that leads to swelling and pain.
Common symptoms of an abscessed tooth include:
- Intense tooth pain that may radiate to the jaw, neck, or ear
- Swelling of the gums or face
- Fever
- Bad taste in the mouth
- Sensitivity to hot or cold
An abscessed tooth requires immediate dental treatment. The infection can spread to other areas of the body if left untreated, so it’s important to seek medical attention quickly.
5. Sinus Infection
Sinus infections can sometimes cause tooth pain, especially in the upper teeth. The sinuses are located close to the roots of the upper teeth, so pressure or infection in the sinuses can be felt as a toothache. This type of pain is usually dull and may worsen when you bend over or apply pressure to your sinuses.
Common symptoms of a sinus infection include:
- Congestion
- Facial pain or pressure
- Runny nose
- Cough
- Tooth pain, especially in the upper jaw
If your tooth pain is accompanied by sinus-related symptoms, such as nasal congestion or facial pressure, the pain may be linked to a sinus infection rather than a cavity.
6. Teeth Grinding (Bruxism)
Teeth grinding, or bruxism, is a condition where people grind their teeth, often during sleep. This can lead to tooth pain, especially in the morning after waking up. Bruxism puts significant pressure on the teeth, which can lead to tooth wear, fractures, and jaw pain.
If you grind your teeth, you may also notice:
- Sore jaw muscles
- Headaches
- Worn-down teeth
- Sensitivity
A dentist can diagnose bruxism and recommend treatments, such as a mouthguard, to prevent further damage.
7. Impacted Wisdom Teeth
Wisdom teeth are the third set of molars, located at the back of the mouth. These teeth often emerge in late adolescence or early adulthood. If there isn’t enough room in the mouth for the wisdom teeth to emerge properly, they can become impacted, causing pain, swelling, and infection.
Symptoms of impacted wisdom teeth include:
Pain in the back of the mouth or jaw
Swelling of the gums
Difficulty opening the mouth
Bad breath or an unpleasant taste
In some cases, impacted wisdom teeth can be removed to relieve the pain and prevent further issues.
8. Dental Work or Fillings
Sometimes, a sore tooth can result from recent dental work, such as a filling or a crown. After a dental procedure, the tooth may be sore for a few days as the area heals. The soreness is usually temporary and should improve within a short period.
However, if the pain persists, it could indicate a problem with the filling or crown, such as an improper fit or infection.
9. Nerve Damage
A sore tooth could also be due to damage to the nerves inside the tooth, such as from trauma or a deep cavity. This can cause a sharp, intense pain that may worsen over time. In such cases, a root canal may be necessary to remove the damaged nerve and restore the tooth.
When to See A Dentist
If you’re experiencing tooth pain, it’s important not to ignore it. While some causes of tooth pain, like cavities, can be treated with a simple filling, others may require more extensive treatment. In any case, visiting a dentist will help determine the cause of the pain and guide you toward the best treatment options.
You should see a dentist if you:
Experience persistent tooth pain
Notice swelling around the tooth
Have difficulty chewing or biting
Experience tooth pain that doesn’t go away
Have visible damage to the tooth
Experience a bad taste or smell in your mouth
Conclusion
A sore tooth doesn’t always mean a cavity. While cavities are a common cause of tooth pain, other issues, such as gum disease, tooth sensitivity, cracks, abscesses, and sinus infections, can also lead to discomfort. Understanding the potential causes of tooth pain can help you seek appropriate treatment and prevent further dental problems.

