
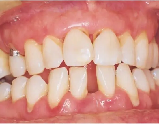
Though tooth decay and periodontitis are among the most common diseases in the world, little is known about the role of genetics in their development. Now, an international team of researchers suggests that hereditary traits as well as factors such as obesity, education, and personality could play a role in tooth decay and periodontitis.
“The study makes it clear that teeth are part of the body. Among other things, we can see that there seems to be a causal link between risk factors for cardiovascular disease and tooth decay,” said Dr. Ingegerd Johansson, senior professor in the Institute of Odontology at Umeå University in Sweden.
Previous research has suggested that several genes may be involved, but none had been confirmed, partly because complex diseases such as tooth decay and periodontitis require large studies to provide firm conclusions.
The current meta-analysis combined data from nine international clinical studies with 62,000 participants together with data on self-reported dental health from the UK Biobank including 461,000 participants, making it the largest study of its kind, the researchers said. It involved scanning millions of strategic points in the genome to find genes with links to dental diseases.
The researchers identified 47 new genes with connections to tooth decay. They also confirmed that a previously known immune-related gene is linked to periodontitis. Among the genes that could be linked to tooth decay are those that help form teeth and the jawbone, those with protective functions in saliva, and those that affect the bacteria found on the teeth.
The study also looked at the genetic link to cardiovascular and metabolic health factors such as smoking, obesity, education, and personality to try and understand connections with dental health. Using Mendelian randomization, the researchers found that there may be more than correlation but also a causal link between decay and some cardiovascular-metabolic risk factors.
“In the future, studies like this may pave the way to identifying people who are at particular risk of dental problems. However, no matter what genes people carry, good oral hygiene and diet are the most important things people can do to reduce the risk of tooth decay and gum disease,” said corresponding author Simon Haworth, BDS, of the Bristol Dental School and the Bristol Population Health Science Institute.
The study, “Genome-Wide Analysis of Dental Caries and Periodontitis Combining Clinical and Self-Reported Data,” was published by Nature Communications.
Related Articles
Researchers Uncover Multiple Cell Types Involved in Tooth Development
Researchers Profile Antibody Response to Periodontal Pathogens
Salivary Microbiomes Differ Between Caries-Active Boys and Girls


