/
/
How Does Getting a Cavity Filled Work?

How Does Getting a Cavity Filled Work?

Cavities are a common dental issue that many people face at some point in their lives. When tooth decay progresses, it can lead to discomfort and other complications. Getting a cavity filled is a routine dental procedure designed to restore the tooth’s function and integrity. This article will provide a detailed overview of how cavity filled works, from diagnosis to aftercare.

Understanding Cavities

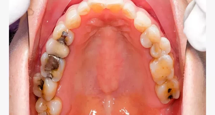
Cavities are small holes that form in the enamel of your teeth. They are caused by the demineralization of tooth structure due to acids produced by bacteria in the mouth. Poor oral hygiene, a diet high in sugars, and certain medical conditions can contribute to cavity formation. Recognizing the early signs of cavities is crucial for timely treatment.

Diagnosis

The first step in addressing a cavity is diagnosis. Your dentist will typically use visual examination and dental X-rays to assess the condition of your teeth. If a cavity is detected, the dentist will discuss treatment options with you. Prompt action is essential to prevent further decay and potential complications.

The Filling Procedure

Once the cavity is confirmed, your dentist will schedule an appointment for the filling procedure. Understanding what to expect during this appointment can help alleviate anxiety.

Preparing for the Procedure

When you arrive for your appointment, the dentist will review your medical history and any concerns you may have. They will then prepare the treatment area. This may involve placing a protective drape over your chest and using a dental bib to keep the area clean.

Numbing the Area

To ensure your comfort during the procedure, the dentist will administer a local anesthetic. This numbs the area around the affected tooth, preventing any pain during the filling process. You may feel a small pinch or pressure from the injection, but this is generally brief.

Removing Decayed Material

Once the area is numb, the dentist will use a dental drill or laser to remove the decayed portion of the tooth. This process is critical for preventing further decay. The dentist will carefully clean the cavity to ensure all decay is removed. They may use a suction device to keep the area dry and clear of debris.

Choosing the Filling Material

After the decay is removed, your dentist will discuss filling material options with you. Common types of filling materials include amalgam, composite resin, gold, and porcelain. Each material has its pros and cons, including durability, appearance, and cost.

Amalgam Fillings

Amalgam is a mixture of metals, including silver, mercury, and tin. These fillings are known for their strength and durability. They are often used in back teeth where chewing pressure is greater. However, they are not as aesthetically pleasing as other options.

Composite Fillings

Composite resin fillings are tooth-colored and blend in well with natural teeth. They are a popular choice for front teeth and visible areas. Composite fillings are less durable than amalgam but offer a more aesthetic solution.

Gold and Porcelain Fillings

Gold fillings are extremely durable but can be more expensive. Porcelain fillings offer a good balance of aesthetics and strength. Your dentist will help you decide which option is best for your situation.

Filling the Cavity

Once you have chosen the filling material, the dentist will place the filling into the cavity. This process involves several steps, depending on the type of filling.

For Composite Fillings

If you choose composite resin, the dentist will apply the material in layers. Each layer is cured with a special light to harden it. This process ensures a strong bond between the filling and the tooth structure. The dentist will then shape the filling to match the contours of your tooth.

For Amalgam Fillings

For amalgam fillings, the dentist will pack the material into the cavity and shape it to fit your bite. The material will harden on its own over time. This type of filling does not require curing with a light.

Final Adjustments

After the filling is placed, the dentist will check your bite to ensure it feels comfortable. They may ask you to bite down on a piece of paper to assess how the filling aligns with your other teeth. If any adjustments are needed, the dentist will make them at this stage.

Aftercare Following the Procedure

Once the filling is complete, your dentist will provide aftercare instructions. Following these guidelines can help ensure proper healing and the longevity of your filling.

Sensitivity

It is common to experience some sensitivity in the filled tooth for a few days after the procedure. This sensitivity may occur when consuming hot or cold foods and beverages. If the sensitivity persists or worsens, it is essential to contact your dentist.

Oral Hygiene

Maintaining good oral hygiene is crucial for the health of your fillings. Brush and floss your teeth as usual, being careful around the filled area. Your dentist may recommend using a soft-bristled toothbrush to avoid irritation.

Diet Considerations

After the procedure, your dentist may advise you to avoid certain foods for a short period. Steer clear of very hard or sticky foods that could dislodge or damage the filling. Following your dentist’s dietary recommendations can help protect your new filling.

see also: Can You Brush Your Teeth Too Much?

When to Contact Your Dentist

While fillings are generally durable, it’s essential to monitor the filled tooth for any changes. If you experience persistent pain, sensitivity, or visible signs of decay around the filling, contact your dentist promptly. They can assess the situation and recommend appropriate action.

Regular Dental Check-Ups

Regular dental check-ups are vital for maintaining the health of your fillings and overall dental health. During these visits, your dentist can monitor the condition of your fillings and address any concerns before they become serious issues.

Conclusion

Getting a cavity filled is a straightforward and routine dental procedure. Understanding the process can help alleviate any anxiety and prepare you for what to expect. From diagnosis to aftercare, each step plays a crucial role in restoring your tooth’s health. By following your dentist’s recommendations and maintaining good oral hygiene, you can ensure your fillings last for years to come.

WhatsApp