As a dentist, I often encounter patients who are anxious about the after-effects of wisdom teeth removal, particularly the lingering holes in the gums where the teeth once resided. Understandably, the sight of these open sockets can be alarming, especially if you’re unfamiliar with the healing process. But worry not! The holes from wisdom teeth extraction are a natural part of the healing journey, and with time, they will close up completely. In this article, I’ll provide a comprehensive guide to help you understand what to expect and how long it typically takes for these holes to close.
Understanding Wisdom Teeth Extraction
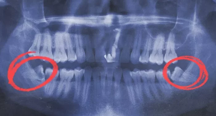
Wisdom teeth, also known as third molars, are the last teeth to erupt in the mouth. Due to the evolution of the human jaw, many people don’t have enough space for these teeth to erupt properly, leading to impacted wisdom teeth. Impacted wisdom teeth can cause a variety of problems, including pain, infection, damage to adjacent teeth, and even cysts or tumors. As a result, many dentists recommend removing wisdom teeth, especially if they’re impacted or causing issues.
The extraction process itself can vary depending on the position and condition of the wisdom teeth. Simple extractions involve removing teeth that have erupted fully or partially and are accessible. Surgical extractions, on the other hand, involve removing teeth that are impacted or buried beneath the gum line and bone. This typically requires more invasive techniques, including cutting through gum tissue and bone, and sometimes even sectioning the tooth into smaller pieces to make removal easier.
The Healing Process: What to Expect
After wisdom teeth extraction, patients will notice a hole, or socket, in the gum where the tooth was removed. This is completely normal and is part of the healing process. The hole will gradually fill in as the body heals and new tissue forms.
Immediate Post-Extraction
Immediately after the extraction, you’ll likely have a blood clot forming in the socket. This clot is crucial for healing, as it acts as a protective barrier and promotes the growth of new tissue. It’s important to avoid dislodging the clot, as this can delay healing and increase the risk of infection. To help the clot stay in place, your dentist may recommend biting down on a gauze pad for a period of time after the extraction.
For the first few days, you may experience some discomfort, swelling, and bleeding. It’s important to follow your dentist’s post-extraction instructions carefully, including taking pain medication as prescribed, eating soft foods, and avoiding strenuous physical activity.
The First Week
As the healing process continues, the socket will begin to fill in with granulation tissue, a type of soft, pink tissue that forms as part of the wound healing response. This tissue is rich in blood vessels and helps to protect the underlying bone and nerves. You may still notice a hole in the gum, but it will be gradually getting smaller.
During this time, it’s important to maintain good oral hygiene. Gently brush your teeth and rinse your mouth with a mild saltwater solution to keep the area clean and prevent infection. Avoid using straws, smoking, or drinking alcohol, as these activities can disrupt the healing process and increase the risk of dry socket, a painful complication that occurs when the blood clot dislodges prematurely.
The First Month
By the end of the first month, the socket will have filled in with more granulation tissue, and the edges of the gum may start to heal over the hole. The gum tissue will continue to thicken and firm up, providing a protective covering over the underlying bone.
You may still notice a small depression in the gum, but it will be less noticeable and less concerning. At this point, you should be able to resume most of your normal activities, including eating a regular diet and engaging in physical exercise.
The First Six Months
Over the next few months, the socket will continue to heal and fill in with bone tissue. This process is gradual and may take several months to complete. As the bone heals, it will become stronger and more dense, providing a stable foundation for the surrounding teeth.
The gum tissue will also continue to thicken and mature, blending in with the surrounding tissue and making the hole even less noticeable. By the end of the first six months, the socket should be mostly closed, and you may only notice a slight indentation in the gum.
Beyond Six Months
After six months, the healing process is usually well underway, and the socket should be mostly closed. The gum tissue will have healed over the underlying bone, and the indentation in the gum will be minimal. In some cases, it may be difficult to even notice that a tooth was ever removed.
However, it’s important to note that everyone heals at their own pace. Some people may heal more quickly, while others may take longer. Factors such as age, overall health, and the complexity of the extraction can all affect the healing process.
Tips for Faster Healing
While the healing process is largely out of your control, there are a few things you can do to promote faster healing and reduce the risk of complications:
Follow your dentist’s instructions: Take any prescribed medications, eat soft foods, and avoid strenuous physical activity for the first few days.
Maintain good oral hygiene: Gently brush your teeth and rinse your mouth with a mild saltwater solution to keep the area clean.
Avoid disruptive activities: Don’t use straws, smoke, or drink alcohol, as these activities can disrupt the healing process and increase the risk of dry socket.
Eat a nutritious diet: Eating a balanced diet that includes plenty of protein, vitamins, and minerals can help support your body’s healing process.
Rest and relax: Give your body the time and energy it needs to heal properly. Avoid stress and get plenty of rest.
Conclusion
In conclusion, the holes from wisdom teeth extraction are a normal part of the healing process. While they may be alarming at first, with time and proper care, they will close up completely. By understanding what to expect and following your dentist’s instructions, you can promote faster healing and reduce the risk of complications. Remember, everyone heals at their own pace, so don’t be discouraged if your healing process takes a little longer than expected. With patience and care, you’ll be back to your normal routine in no time.

