/
/
How Much to Fill a Broken Tooth

How Much to Fill a Broken Tooth

A broken tooth can be a significant concern for many individuals. It may cause pain, discomfort, and anxiety about dental health and appearance. One of the most common treatments for a broken tooth is getting a filling. This article will explore how much it costs to fill a broken tooth, the different types of fillings, and factors that influence the price.

Understanding Broken Teeth

What Causes a Tooth to Break?

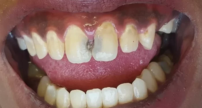
A tooth can break for various reasons. The most common causes include trauma, decay, and excessive pressure from grinding or clenching. Injuries from sports, falls, or accidents can lead to sudden breaks. Tooth decay weakens the structure of the tooth, making it more susceptible to breaking. Additionally, habits such as chewing on hard objects can also cause fractures.

Symptoms of a Broken Tooth

Individuals with a broken tooth may experience several symptoms. Common signs include pain when biting or chewing, sensitivity to hot or cold temperatures, and visible cracks or chips in the tooth. Some people may also notice swelling around the affected area or a change in the appearance of the tooth. If you suspect that you have a broken tooth, it is essential to seek dental care promptly.

Treatment Options for a Broken Tooth

Dental Fillings

When a tooth is broken but not severely damaged, dental fillings are often the recommended treatment. Fillings restore the tooth’s structure and function, providing relief from pain and preventing further damage. The dentist will first assess the extent of the break and then decide the best type of filling material to use.

Other Treatment Options

In more severe cases, additional treatments may be required. These can include dental crowns, which cover the entire tooth, or root canal therapy if the inner pulp of the tooth is damaged. Each treatment option varies in cost and complexity.

Types of Fillings

Composite Fillings

Composite fillings are made of a tooth-colored resin material. They are ideal for visible areas, as they blend well with the natural tooth color. Composite fillings are durable and provide a natural appearance.

Cost of Composite Fillings

The cost of composite fillings typically ranges from $150 to $300 per tooth. The final price can depend on the size of the filling and the dentist’s fees. Composite fillings may be more expensive than other materials but are often preferred for their aesthetic benefits.

Amalgam Fillings

Amalgam fillings are made of a mixture of metals, including silver, mercury, tin, and copper. They are known for their strength and durability, making them suitable for back teeth where chewing pressure is greater.

Cost of Amalgam Fillings

The average cost for amalgam fillings is generally lower than that of composite fillings, ranging from $100 to $250 per tooth. While they are less aesthetically pleasing, they are highly effective and long-lasting.

Glass Ionomer Fillings

Glass ionomer fillings are made from a mixture of glass and acrylic. They release fluoride, which can help protect the tooth from decay. These fillings are often used for children or for areas not exposed to heavy chewing forces.

Cost of Glass Ionomer Fillings

The cost for glass ionomer fillings typically ranges from $100 to $300 per tooth. They are less durable than amalgam or composite fillings, but their fluoride release makes them beneficial in certain cases.

Resin Ionomer Fillings

Resin ionomer fillings are similar to glass ionomer fillings but have added resin for strength. They are suitable for areas with low chewing pressure and are often used in pediatric dentistry.

Cost of Resin Ionomer Fillings

Resin ionomer fillings usually cost between $150 and $300 per tooth. Their cost can vary based on the specific material used and the dentist’s expertise.

Factors Influencing the Cost of Filling a Broken Tooth

Location of the Dental Practice

The cost of dental procedures can vary significantly based on geographic location. Urban areas tend to have higher prices due to increased demand and operating costs. In contrast, rural areas may offer more affordable dental care options.

Dentist’s Experience and Expertise

The experience and reputation of the dentist can also impact the cost. Highly skilled dentists may charge more for their services. However, investing in an experienced dentist can lead to better outcomes and fewer complications.

Complexity of the Case

The extent of the break and the condition of the tooth will influence the cost of treatment. If the tooth requires additional work, such as a root canal or crown, the overall expense will increase. Each case is unique, and a thorough dental examination will provide a more accurate estimate of costs.

Dental Insurance Coverage

Many dental insurance plans cover a portion of the cost of fillings. However, coverage can vary widely between plans. Some policies may have limits on coverage amounts or specific requirements for certain materials. It is advisable to check your insurance plan to understand what is covered and any out-of-pocket costs you may incur.

Additional Costs

It is important to consider additional costs associated with the procedure. These can include diagnostic exams, X-rays, or follow-up appointments. Depending on the dentist’s practice, these fees can add to the total cost of treatment.

Preparing for Your Dental Visit

Initial Consultation

When you first visit the dentist for a broken tooth, a thorough examination will be conducted. The dentist will assess the damage and recommend the best treatment option. Diagnostic imaging, such as X-rays, may be required to determine the extent of the break and check for underlying issues.

Discussing Treatment Options

During your appointment, the dentist will discuss the available treatment options. This is an excellent opportunity to ask questions about the types of fillings, costs, and any concerns you may have about the procedure. Understanding your options will help you make an informed decision.

Aftercare Instructions

After receiving a filling, the dentist will provide aftercare instructions. These may include advice on dietary restrictions, pain management, and oral hygiene practices. Following these guidelines is essential for a successful recovery and ensuring the longevity of the filling.

Conclusion

The cost to fill a broken tooth varies based on several factors, including the type of filling, the dentist’s expertise, and the location of the dental practice. Composite fillings generally cost between $150 and $300, while amalgam fillings range from $100 to $250. The overall expense may also be influenced by the complexity of the case and whether additional treatments are needed.

If you suspect that you have a broken tooth, it is crucial to seek dental care promptly. Timely treatment can alleviate pain and prevent further damage. By discussing your concerns with a qualified dentist, you can explore the best options for addressing your broken tooth and restoring your oral health. Remember that investing in dental care is an investment in your overall well-being and confidence.

WhatsApp