/
/
How Much Will 3 Fillings Cost

How Much Will 3 Fillings Cost

Dental care is important for keeping oral health, and dental fillings are one of the maximum not unusualplace tactics done in dental clinics. When you’re informed you want 3 fillings, it is herbal to surprise how plenty the remedy will price. The general price of 3 dental fillings relies upon on numerous elements, along with the kind of filling fabric, whether or not you’ve got got coverage coverage, and in which you live. In this article, we are able to smash down what impacts those fees and offer exact insights that will help you make an knowledgeable decision.

What Are Dental Fillings?

Dental fillings are used to repair enamel broken through decay. If you’ve got got cavities, a dentist will cast off the decayed part of your enamel and fill the vicinity with a cloth that continues your enamel sturdy and functional. Fillings save you similarly decay and assist keep the herbal form and integrity of your enamel.

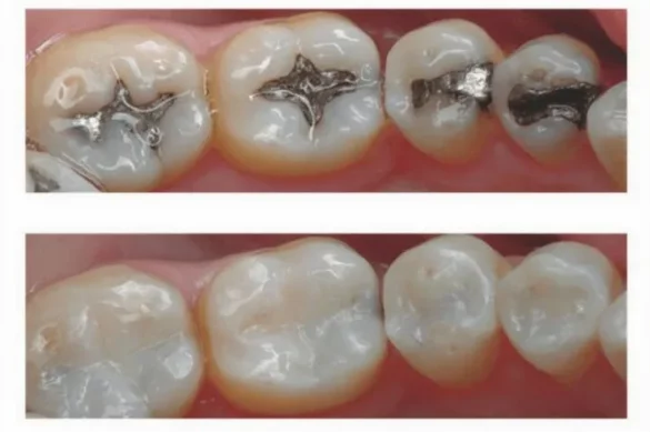
Types of Dental Filling Materials and Their Costs

The price for 3 fillings varies extensively relying at the kind of fabric chosen. The foremost varieties of filling substances include:

Amalgam Fillings

Amalgam, frequently called silver fillings, is one of the maximum conventional types. These are long lasting and typically the least luxurious option.

  • Cost consistent with filling: $100–$200
  • Cost for three fillings: $300–$600

Composite Resin Fillings

Composite fillings are enamel-coloured and aesthetically pleasing, making them a famous preference for seen enamel. However, they may be usually extra luxurious than amalgam.

  • Cost consistent with filling: $150–$250
  • Cost for three fillings: $450–$750

Ceramic Fillings

Ceramic fillings use porcelain and are valued for his or her sturdiness and herbal look. They are extra steeply-priced than composite or amalgam.

  • Cost consistent with filling: $250–$450
  • Cost for three fillings: $750–$1,350

Gold Fillings

Gold fillings are especially long lasting and ultimate a protracted time, however they arrive with a better fee tag and are used much less regularly today.

  • Cost consistent with filling: $400–$800
  • Cost for three fillings: $1,200–$2,400

Glass Ionomer Fillings

These fillings are specifically used for kids or non-load-bearing enamel, and their fee is similar to composite fillings.

  • Cost consistent with filling: $100–$250
  • Cost for three fillings: $300–$750

Factors Influencing the Total Cost of three Fillings

Several key elements have an effect on how plenty you may pay for 3 fillings:

Geographic Location

Dental expenses range through place and city. For example, city regions and sure states frequently have better dental prices as compared to rural regions.

Dentist’s Experience and Clinic Fees

Highly skilled dentists or people with superior generation of their clinics may also rate extra for his or her services.

Size and Location of the Cavities

Larger cavities or the ones in hard-to-attain regions may also require extra paintings and price extra to fill.

Number of Surfaces Filled

Some cavities have an effect on multiple floor of the enamel, that can growth the procedure’s complexity and the general price.

Cost of three Fillings With Dental Insurance

If you’ve got got dental coverage, your out-of-pocket price may be drastically reduced. Most dental coverage plans cowl 50–80% of primary restorative techniques like fillings, relying at the phrases of your coverage.

  • With coverage: For 3 easy fillings, your value ought to variety from $50–$2 hundred, after coverage blessings are applied.
  • Without coverage: You may also pay the whole price, $three hundred–$1,350 or greater relying at the substances and health center.

It is critical to study your coverage to recognize your unique insurance, annual maximums, and deductibles. Some plans may also region limits on what number of fillings are blanketed in line with year.

Additional Potential Costs

There are now and again greater charges protected in dental filling techniques, which includes diagnostic X-rays, preliminary consultations, or anesthesia. Ask your dental health center for a complete breakdown earlier than remedy to keep away from any surprising charges.

Ways to Save Money on three Fillings

If you’re involved approximately value, bear in mind those tips:

Compare Prices

Get fees from more than one dental clinics. Prices can fluctuate significantly even in the identical area.

Membership and Discount Plans

Some dental practices provide in-residence club plans or reductions for coins payments. These packages can provide widespread savings.

Dental Schools

If you stay close to a dental school, college students supervised with the aid of using certified dentists may also carry out fillings at a discounted rate.

Payment Plans

Ask the workplace approximately to be had price plans. Many provide financing alternatives to unfold the value over numerous months.

Prevention

Practicing appropriate oral hygiene, which includes ordinary brushing and flossing, reduces the danger of destiny cavities and the want for greater fillings.

How to Decide Which Filling is Best for You

Choosing a filling fabric need to bear in mind appearance, durability, coverage insurance, and value. Your dentist will suggest the high-quality alternatives primarily based totally for your dental scenario and your preferences. If value is a major concern, speak all to be had substances and their long-time period implications.

Conclusion

The general value for 3 dental fillings relies upon on a aggregate of factors, specifically the selected filling fabric and whether or not you’ve got got dental coverage. On average, count on to pay between $three hundred and $1,350 for 3 fillings with out coverage, at the same time as coverage insurance can drop your prices to as low as $50–$2 hundred relying for your plan. To make knowledgeable decisions, continually ask your dental health center for an in depth value estimate and bear in mind all methods to lessen your out-of-pocket prices. Investing in ordinary dental care and prevention stays the maximum value-powerful strategy.

FAQs

How can I get an genuine estimate for my scenario?

Contact your dentist for a customised quote. Bring your coverage info for an correct breakdown.

Are white (composite) fillings greater high priced than silver (amalgam) fillings?

Yes, composite fillings are typically greater high priced than amalgam fillings because of the substances and time required.

Does coverage continually cowl dental fillings?

Most dental guidelines cowl fillings, however the share of insurance and annual maximums differ. Always confirm together along with your insurer.

Can I postpone getting fillings to store money?

Delaying wanted fillings can bring about greater extreme dental troubles and better destiny fees. It’s advocated to deal with cavities early.

Do dental filling fees encompass all fees?

Not continually. Ask for an entire fee breakdown to decide if X-rays, anesthesia, or consultations are billed separately.

WhatsApp