Main Content
This article is the winning entry of the DRDCA 2020 Article Contest (Second Position). Congratulations to the author Dr. Gulafsha M!
Co-authored by Dr Anuroopa P, Professor, RRDCH, Bangalore.
ABSTRACT
Gingival health and appearance are essential components of an attractive smile with gingival pigmentation playing a crucial role. Gingival hyperpigmentation is physiologic phenomenon resulting from deposition of melanin in basal and supra basal layer of epithelium. Gingival depigmentation involves removal of gingival hyperpigmentation through various techniques. In the present case series, gingival depigmentation was performed using 3 different techniques like scalpel, electrosurgery and diode laser and also post-operative pain score was measured by the Visual Analogue Scale.
INTRODUCTION
Esthetic dentistry strives to merge function and beauty with values and individual needs of every patient 1. A beautiful smile surely enhances individual’s self-confidence 2. Gingival health and appearance are essential components of an attractive smile, with gingival pigmentation playing crucial role 3,4.
Gingival hyperpigmentation can be defined as darker gingival color beyond what is normally expected 4. It is a physiologic phenomenon resulting from deposition of endogenous melanin by melanin granules of melanocytes in basal and supra basal layer of epithelium and transferred to basal cells where it is stored in form of melanosomes 3,5. Pigmentation is contributed by-products of physiological process such as melanin, melanoid, carotene, oxyhemoglobin, reduced hemoglobin, bilirubin and iron and/or pathological diseases, and conditions. Environmental risk factors such as tobacco smoking contribute to the gingival hyperpigmentation in both active and passive form. Ethnicity and age also influence the color of gingiva but it has no sexual predilection 4. Systemic conditions such as endocrine disturbances, Albright’s syndrome, malignant melanoma, Peutz Jeghar’s syndrome, trauma, and racial pigmentation are known cause of oral melanin pigmentation 3.
Gingival depigmentation can be defined as periodontal plastic surgical procedure whereby gingival hyperpigmentation is removed or reduced by various techniques. Depigmentation is a treatment of choice where esthetics is a concern 4.
In the present case series, gingival hyperpigmentation was treated by 3 different techniques like scalpel, electrosurgery and diode laser and also post-operative pain score was measured by Visual Analogue Scale.
CASE SERIES
CASE 1:
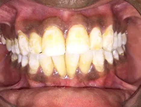
A 20-year-old male patient visited the Department of Periodontology in a private dental college and hospital, Bangalore with chief complaint of heavily pigmented gums. Oral examination revealed, DOPI score* was 3 and Class 2- high smile line (Liebart and Deruelle 2004**) that revealed deeply pigmented gingiva from canine to canine (Figure 1).
Surgical procedure: Surgical depigmentation with scalpel was planned. Routine oral hygiene procedures were carried out and oral hygiene instructions were given. Local anesthesia was infiltrated in maxillary anterior region. Using number 15 B.P blade, scrapping of pigmented epithelium until mucogingival junction was carried out, leaving connective tissue intact (Figure 2a, 2b). A periodontal dressing (Coe-Pak) was placed on surgical wound area for 1 week (Figure 3). Patient was kept on analgesics for 5 days and was advised to use 0.12% chlorhexidine gluconate mouthwash for 2 weeks postoperatively.
Post-operative evaluation: Wound healing was uneventful without any discomfort. 1 month postoperative examination showed well-epithelialized gingiva, which was pink in color and pleasant (Figure 4).
VAS score: Patient’s postoperative self-assessment report showed VAS score of 4 at 24 hr, score 2 at 72 hr and no pain at 1 week post operatively indicating that patient experienced moderate pain at 24 hr and slight pain at 72 hr and absolutely no pain at 1-week post operatively.
FIG 1: PRE OPERATIVE
FIG 2A: INTRA OPERATIVE,
2B: IMMEDIATE POST OP
FIG 3: COE- PAK PLACED
FIG 4: 1 MONTH POST OP
CASE 2:
A 20-year-old male patient visited Department of Periodontology in a private dental college and hospital, Bangalore with chief complaint of heavily pigmented gums. Oral examination revealed, DOPI score* was 3 and Class 3- average smile line (Liebart and Deruelle 2004**) that revealed deeply pigmented gingiva from canine to canine in mandible (Figure 5).
Surgical procedure: Depigmentation procedure was planned using electrocautery. Under local anaesthesia using electro cautery (Art- E1 110V Electrosurgery Dental Vet cutting unit), loop electrode was used in light brushing strokes and tip was kept in motion all the time to avoid excessive heat buildup and destruction of tissues for gingival depigmentation (Figure 6). Finally, Coe-pak was placed for 1 week over wound area (Figure 7) and oral hygiene instructions were given.
Post-operative evaluation: Wound healing was uneventful without any discomfort. Pigmentation was absent in newly formed epithelium, with gingiva appearing pale pink in color after 1 month .
VAS score: Patient reported VAS score of 2 at 24 hr, score 0 at 72 hr and 1 week post operatively indicating that patient experienced mild pain at 24 hr and no pain at 72 hr and 1-week post operatively.
FIG 5: PRE OPERATIVE
FIG 6: IMMEDIATE POST OP
FIG 7: COE- PAK PLACED
FIG 8: 1 MONTH POST OP
CASE 3:
A 25-year-old female patient visited Department of Periodontology in private dental college and hospital, Bangalore with chief complaint of dark gums and wanted to get it corrected for esthetic reason. Oral examination revealed, DOPI score* was 3 and Class 2-high smile line (Liebart and Deruelle 2004**) that revealed deeply pigmented gingiva from canine to canine in maxilla (Figure 9).
Surgical procedure: Depigmentation procedure was planned using diode laser. After adequate anesthesia was given, diode laser (Sirona Xtend 980 nm Diode laser) fiber optic tip, 400 µm in diameter set at 1 W in contact mode, was used to ablate the tissues in cervico- apical direction (Figure 10). Surgical site was wiped with sterile gauze soaked in 1% normal saline solution. Depigmentation procedure continued until no pigmentation remained (Figure 11). No periodontal dressing was placed. No pain or bleeding complications were observed during and after procedure.
Post-operative evaluation: No pain or discomfort observed post operatively. Ablated wound healed completely in 1 week. 1 month after ablating, gingiva was generalized pink in color and healthy in appearance.
VAS score: Patient reported VAS score of 0 at 24 hr, 72 hr and 1 week post operatively indicating no pain experience at 24 hr, 72 hr and 1-week post operatively.
FIG 9: PRE OPERATIVE
FIG 10: INTRA OPERATIVE
FIG 11: IMMEDIATE POST OP
DISCUSSION
Demand for gingival depigmentation is increasing day by day with increasing esthetic concerns of patients and increasing awareness towards oral health care.6 Several treatment modalities have been suggested in literature for gingival depigmentation which includes Chemical methods, Surgical methods- Conventional techniques, Electrosurgery, Lasers, Cryosurgery and Radiosurgery 3,4.
In the present case series, 3 different techniques were selected for gingival depigmentation, which included scalpel, electrosurgery, and diode laser. Patients were recalled post operatively at 1 week and 1 month for re-evaluation. All 3 techniques showed successful results with good patient satisfaction.
The scalpel technique, first illustrated by Dummet and Bolden in 1963, for gingival depigmentation is still a popular technique to be employed 2,7. It is simple, easy to perform, noninvasive, and cost effective technique 1. It does not require more advanced armamentarium 3. In our study, healing by scalpel was satisfactory and similar to that by cautery and laser. However, study by Almas and Sadiq (2002) found that, scalpel wound heals faster than other techniques. Disadvantage with scalpel technique is unpleasant bleeding which occurs during and after procedure, more chances of infections, and it requires protection of surgical site with periodontal dressing 1,2,3,8.
Gingival depigmentation using electro surgery was first reported by Ginwalla et al in 1966 2. In our study, we found superior efficiency of healing in electrosurgery than scalpel. Electrosurgery has strong influence in retarding migration of melanin cells 9. It is much easier to perform with good patient acceptance and least amount of bleeding 3. This method controls hemorrhage, permits adequate contouring of tissues, causes less discomfort to patient, less scar formation and lesser chair time. Cicek (2003) reported no bleeding and minimal patient discomfort while using electrocautery 1. However, long-term results of electrosurgical technique may not be as predictable as other techniques. In addition, depth control is difficult and it requires more expertise than scalpel surgery. Prolonged or repeated application of current to tissue induces heat accumulation and undesired tissue destruction 2,3.
Another effective treatment modality employed in present case series is depigmentation by diode laser. Trelles et al, (1992) first reported use of Argon laser for gingival depigmentation. In our study gingival depigmentation with laser showed effective healing with lesser pain compared with scalpel and electrosurgery. Advantages of this technique are maintaining bloodless field, instant sterilization of surgical field, reduced bacteremia, minimal post-operative swelling, scarring, post-operative pain and does not require post operative periodontal dressing 2. It can be theorized that protein coagulum formed on wound surface acts as biological wound dressing by sealing ends of sensory nerves 6. It exhibits thermal effects by heat accumulation at end of fiber. It allows controlled cutting with limited depth of necrosis by causing tissue-specific ablation layer by layer and cell by cell. Diode lasers are well absorbed by melanin, hemoglobin and other chromophores present in periodontally diseased tissues. These properties of diode laser make them an excellent choice to use in periodontally involved sulcus containing dark inflamed tissue and pigmented bacteria 9. Laser beam even destroys epithelial cells including those at basal layer, and hence reduces repigmentation 1. Study by Lagvide S.et al (2009) compared diode laser with scalpel and bur abrasion for gingival depigmentation and showed superior results with laser 5. However, disadvantages with laser is expensive, requires sophisticated equipment, loss of tactile feedback, gingival fenestration and bone exposure may occur 2.
Our study described that all 3 techniques were effective for gingival depigmentation. Scalpel technique showed increased amount of bleeding and patient discomfort, while electrocautery and laser had no or minimal amount of bleeding. The pain perception analysed using VAS score showed that scalpel technique had moderate pain at 24 hrs and slight pain at 72 hours and absolutely no pain at 1-week post operatively, while electrocautery had mild pain at 24 hrs and no pain at 72 hours and 1-week post operatively and laser had no pain experience at 24 hours, 72 hours and 1-week post operatively. Similarly study by Kaarthikeyan et al. reported that laser group had lesser pain intraoperatively compared with the scalpel group 9.
This study is first of its kind to evaluate pain levels using the VAS to compare scalpel, electrosurgery and diode lasers for gingival depigmentation. In present study, depigmentation with laser had lesser pain compared with scalpel and electrosurgery group, which can be attributed to analgesic effects of diode lasers due to loss of impulse conduction or ablation of the nerve endings because of protein coagulum formation.
However, long-term followup with large sample size is necessary to study recurrence of pigmentation and factors affecting the rate, duration & pattern.
CONCLUSION
In our study, all 3 techniques showed better results. The scalpel technique is more convenient for both periodontists and patients, regarding expenses and duration, when compared to electrocautery and laser techniques. The VAS score analyses showed lesser pain experience post operatively with laser followed by electrocautery and scalpel technique.

