/
/
Increasing Vertical Dimension With Long-term Provisional 3D Printed Restorations

Increasing Vertical Dimension With Long-term Provisional 3D Printed Restorations

INTRODUCTION

Myriad clinical, functional, and aesthetic considerations converge when dentists encounter patients with insufficient vertical dimension of occlusion (VDO), collapsed bite, and excessive tooth wear.1,2 Collaboratively with their dental laboratory, they’re faced with establishing a balanced occlusal relationship to prevent instability from influencing the longevity of planned restorations.1-4 Simultaneously, they’re challenged to comprehensively rehabilitate a worn dentition using materials that are predictably functional and aesthetic.3,4

Fortunately, the collaborative workflow between dentists and laboratories facilitates acquiring and sharing essential diagnostic records in a streamlined manner. Laboratories can incorporate digital bite record data into restoration design processes to more easily and precisely establish an appropriate VDO. Concurrently, they can also determine ideal restoration length in a digital wax-up to improve a patient’s occlusal relationship,1,3,5 rather than use traditional impressions, solid models, or articulators.

The more significant implications of digital workflows and processes are the efficiencies and cost savings realized when providing these comprehensive treatments in a phased manner.6 Digital communication, records acquisition/transfer, and computer-aided design/computer-assisted manufacturing (CAD/CAM) of restorations culminates in rapid production of provisional restorations capable of long-term, predictable function, even when placed on implants and establishing a new occlusal relationship.5,7

Contributing to this capability is a recently introduced printable zirconia-infused nanohybrid resin (Rodin Sculpture 2.0 [Pac-Dent]) (Figure 1). Compared to other printable materials, this zirconia-infused nanohybrid resin is highly filled (ie, 60% ceramic filler content) and, therefore, considered a permanent ceramic restorative according to ADA criteria. Its excellent mechanical properties include optimal durability, toughness, wear, fracture resistance, and a biaxial flexural strength of 200 MPa.8 It also exhibits desirable optical characteristics (ie, lifelike aesthetics, translucency, and ideal radiopacity).8

Figure 1. Rodin Sculpture 2.0 (Pac-Dent).

The following case report describes a phased treatment undertaken to increase a patient’s VDO and restore his maxillary arch. The zirconia-infused nanohybrid resin (Rodin Sculpture 2.0) was chosen for printing long-term provisional single-unit implant- and tooth-supported full-coverage crown restorations.

Case Report

A 71-year-old man presented with the chief complaint of a fractured tooth No. 8. As a pilot scheduled to fly the next day, he said he needed an immediate solution; the severity of the fracture compromised the stability of the removable partial denture currently replacing his already missing tooth No. 9 (Figures 2 and 3). A temporary restoration was placed, and an Essex retainer was made to hold the No. 8 temporary and the “flipper” for No. 9 together.

Figure 2. Preoperative full facial view of the patient after fracturing tooth No. 8; tooth No. 9 was already missing.
Figure 3. Pre-op view of the patient’s smile with his lips at rest.

Clinical Findings

Because the patient wanted to permanently restore tooth No. 8 with a full-coverage all-ceramic crown and No. 9 with an implant-supported crown, he returned to discuss definitive treatment options. However, thorough intraoral, periodontal, and radiographic examinations revealed extensive dental problems that precluded his preferred choices from clinical and financial perspectives. Heavy wear was present on the occlusal and lingual surfaces of teeth Nos. 5, 6, 8, and 10 to 12 (Figure 4). He also presented with a non-restorable, significant, and large chronic reinfection in the root canal of No. 15; a non-restorable vertical root fracture in No. 19; porcelain-fused-to-metal (PFM) restorations on teeth Nos. 2 to 4, and 13 to 15; and an implant at No. 4. 

Figure 4. After temporization of tooth No. 8, an intraoral impression scan of the patient’s maxillary arch was made highlighting occlusal and lingual wear resulting from an insufficient VDO and a collapsed bite.

Treatment Recommendations

The patient’s current condition and its implications for successful treatment were explained. He was informed that his insufficient VDO and collapsed bite rendered restoration with all-ceramic crowns impractical and unpredictable (Figure 5).2-4 He was told that not only would he require an implant at No. 9 but also at Nos. 8, 15, and 19. Due to the wear and fracture, tooth No. 8 could not support an all-ceramic crown, and Nos. 15 and 19 were now non-restorable. He was also informed that long-term and predictable function would be predicated on opening and stabilizing his bite, which would require restoration of his entire maxillary arch.

Figure 5. Intraoral impression scan of the patient’s occlusal relationship, emphasizing the severity of his collapsed bite.

Unfortunately, the patient could not afford the total financial investment required for this treatment plan. Therefore, and particularly because he was not in pain, the prospect of phasing his treatment over several years using restorations printed from a zirconia-infused nanohybrid resin (Rodin Sculpture 2.0) was discussed with the laboratory and accepted by the patient.

Phased Treatment

According to the phased treatment plan, the oral surgeon performed the necessary extractions, then immediately placed bone grafting material and the implants at those sites, as well as at No. 9 (Table 1); the implants would remain unloaded until seating of the long-term provisionals 9 months later. After 6 months of healing, he returned for record taking (Figures 6 and 7), tooth preparation and intraoral scanning (Figure 8), and placement of a single, full-arch chairside temporary (Luxatemp [DMG America]). An intraoral scan was taken with the temporary in place.

*Zimmer; zimmerbiometdental.com
Figure 6. Close-up, retracted view of the patient’s natural occlusal relationship 6 months after implant placement.
Figure 7. The patient was photographed wearing Kois Facial Reference Glasses, which enabled accurate measurement of dentofacial proportions for creating an ideal digital mock-up.
Figure 8. An intraoral impression scan was taken of the occlusal relationship after tooth preparation for use in calculating the patient’s new VDO.

Photographs and intraoral impression scans were transferred to the laboratory to design the digital wax-up; determine the patient’s new VDO; and create the ideal size, shape, and length of the restorations to ensure proper tooth display, function, and occlusal relation.1,3,5 Impression scans of the implant scan bodies were also captured and forwarded to the laboratory.

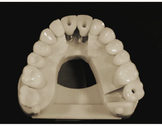
Because the restorations required significant wear resistance and flexural strength to withstand the patient’s occlusal forces while adapting to the increased VDO, Rodin Sculpture 2.0 was chosen. This material’s ease of repairability—should repairs ever be needed—was a noteworthy benefit compared to previously available millable and printable resin restoratives.9 The patient planned to maintain the provisionals for several years before pursuing all-ceramic restorations, making durability and retention significant considerations.4,7,10 The material’s availability in 16 VITA classic shades and 2 additional bleach shades enabled the laboratory to print the single-unit, full-coverage crowns with highly aesthetic properties (Figures 9 and 10).

Figure 9. Facial view of the aesthetically characterized, printed, zirconia-infused nanohybrid resin (Rodin Sculpture 2.0) restorations on the printed model.
Figure 10. Occlusal view of the printed restorations on the printed model highlighting the implant screw access holes.

The patient returned 3 months later, at which time the temporary was removed, the preparations were cleaned, and the provisional restorations were placed. Natural tooth-supported restorations were adhesively cemented (Scotchbond Universal Adhesive and RelyX Universal Cement [3M]) according to standard protocol, and each restoration was cured from the buccal and lingual aspects for 20 seconds each. The implant-supported restorations were screwed into place, and the access holes were sealed with Teflon tape and an A2 shade direct composite (SonicFill [Kerr Dental]).

Figure 11. Occlusal view from the intraoral impression scan of the long-term provisional restorations.
Figure 12. Intraoral impression scan confirming improved occlusal/bite relationship.
Figure 13. Close-up, retracted view of the zirconia-infused nanohybrid resin restorations 10 days after placement. Note the exceptional gingival health at the margins.

Intraoral impression scans were taken to confirm restoration fit and an improved bite relationship (Figures 11 and 12). Ten days later, he returned for a followup, at which time adaptation to his new VDO and gingival margin integrity were confirmed (Figure 13). Three months later, the patient continued to experience improved function, stability, and aesthetics (Figures 14 and 15).

Figure 14. Close-up view of the patient’s natural smile 3 months after restoration placement.
Figure 15. Full facial view of the patient taken 3 months after placement of the zirconia-infused nanohybrid resin restorations (Rodin Sculpture 2.0).

CONCLUSION

Although polymethyl methacrylate (PMMA) is more frequently used for provisional restorations, its questionable flexural strength may preclude its use in long-term, phased treatments.11,12 From the authors’ perspectives, providing this patient with long-term provisional zirconia-infused resin restorations represents a paradigm shift in how phased treatments are planned and with what materials.

The ability to confidently place adhesively bondable and reparable restorations that are printed from a material with high wear resistance and flexural strength can potentially change how—and for which patients—dentists and their teams are able to provide comprehensive rehabilitations.9,10 Given the material’s durability, strength, and aesthetics, such treatments can now be more efficient, cost-effective, and stretched out over years, not just months.8,10

In this case, durable single-unit crowns were placed—even on implants—to increase the patient’s VDO. This option wasn’t always possible with previously available temporary or indirect provisional restorations.4,7,11,12 Interestingly, because the provisionals were all single units, the patient could floss between them, maintain proper oral hygiene, and ensure his gingival and overall oral health.

REFERENCES

1. Dawson P. Functional Occlusion: From TMJ to Smile Design. Canada: Mosby, Inc.; 2007. 

2. Nakamura SS, Donatelli D, Rosenberg ES. Posterior bite collapse: guidelines for treatment based on form and function. Int J Periodontics Restorative Dent. 2022;42(3):351–9. doi:10.11607/prd.5073

3. Cranham JC. Altering the vertical dimension. Dentaltown. 2020;4:70–5. 

4. Hardan L, Mancino D, Bourgi R, et al. Treatment of tooth wear using direct or indirect restorations: a systematic review of clinical studies. Bioengineering (Basel). 2022;9(8):346. doi:10.3390/bioengineering9080346

5. O’Dowling D. A simplified, completely digital workflow for full-arch temporary restorations. Dent Today. 2023;7:105–8. 

6. Sailer I. The revolution of 3D printing in dentistry. Int J Prosthodontics. 2023;36(3): 241–2. doi:10.11607liijp.2023.3e

7. Jain S, Sayed ME, Shetty M, et al. Physical and mechanical properties of 3D-printed provisional crowns and fixed dental prosthesis resins compared to CAD/CAM milled and conventional provisional resins: a systematic review and meta-analysis. Polymers (Basel). 2022;14(13):2691. doi:10.3390/polym14132691

8. Giordano R. Rodin Sculpture 2.0 third-party validation data. Boston University. Available from Pac-Dent, Brea, CA. 

9. Gad MM, Abualsaud R. Effect of repair and surface treatments on the strength of digitally fabricated resin-based dental prostheses: A systematic review of in vitro studies. J Dent. 2024;141(2):104806. doi:10.1016/j.jdent.2023.104806 

10. Alshamrani A, Alhotan A, Kelly E, et al. Mechanical and biocompatibility properties of 3D-printed dental resin reinforced with glass silica and zirconia nanoparticles: in vitro study. Polymers (Basel). 2023;15(11):2523. doi:10.3390/polym1511252 

11. Stawarczyk B, Teuss S, Eichberger M, et al. Retention strength of PMMA/UDMA-based crowns bonded to dentin: impact of different coupling agents for pretreatment. Materials (Basel). 2015;8(11):7486–97. doi:10.3390/ma8115396

12 Zafar MS. Prosthodontic applications of polymethyl methacrylate (PMMA): an update. Polymers (Basel). 2020;12(10):2299. doi:10.3390/polym12102299

ABOUT THE AUTHOR

Dr. Gillespie received his DDS degree from University of Washington School of Dentistry. He has received advanced training in cosmetic and implant dentistry as well as in IV sedation and surgical procedures. Dr. Gillespie is passionate about education and frequently lectures nationwide about several aspects of dentistry. He maintains a general practice in Vancouver, Wash, with a focus on cosmetic dentistry. He can be reached at [email protected]. 

Mr. Rego owns and operates Smile Designs by Rego, a progressive dental laboratory specializing in ceramics in Santa Fe Springs, Calif. He and Juan Rego, CDT, established the laboratory in 1980. He is a certified dental technician and is an accredited member of the American Academy of Cosmetic Dentistry. He has written many articles pertaining to dental materials and techniques, which have appeared in many of the leading dental journals. He is also an evaluator and speaker for several dental product manufacturers. He can be reached at [email protected].

Disclosure: Dr. Gillespie and Mr. Rego report no disclosures.  

WhatsApp