
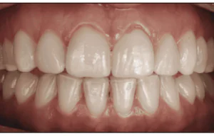
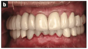
Efficiency meets aesthetics: Advancements in bulk flowable composite technology
In restorative dentistry, clinicians continually seek materials that balance efficiency, predictability, and aesthetic performance. Over the past decade, bulk fill composites have gained significant traction







