Maintaining wholesome tooth and gums is a concern for adults who need to maintain their herbal smile for life. Regular dental cleanings play a extensive position in stopping oral issues, however sometimes, greater than a wellknown cleansing is necessary. This is in which deep tooth cleansing comes in. Many sufferers ask: is deep tooth cleansing really well worth it? Understanding what deep cleansing is, the way it differs from normal cleansing, and who truely desires it allow you to make an knowledgeable decision.
What Is Deep Teeth Cleaning?
Deep tooth cleansing, additionally referred to as scaling and root planing, is a system geared toward treating gum ailment, specifically in its early to mild stages. During this treatment, a dental expert cleans now no longer most effective the seen elements of your tooth however additionally is going beneath the gumline to take away dangerous micro organism, plaque, and tartar which have constructed up at the roots of the tooth.
Scaling refers back to the technique in which the dentist or hygienist gets rid of plaque and tartar from above and beneath the gumline. Root planing smooths out the surfaces of the enamel roots. This facilitates your gums reattach in your tooth and makes it more difficult for brand spanking new micro organism to construct up. Unlike a easy brushing or a normal cleansing, deep cleansing reaches farther into the wallet among your tooth and gums.
How Is Deep Cleaning Different From Regular Cleaning?
A normal dental cleansing, additionally known as prophylaxis, specializes in doing away with plaque and tartar from the seen surfaces of your tooth. The hygienist makes use of unique gear to smooth regions which can be neglected all through each day brushing and flossing. This system is recurring and advocated each six months for maximum people.
By contrast, deep cleansing is greater intensive. It objectives the region beneath the gumline, in which superior plaque and tartar can acquire and result in infection. When you’ve got got signs and symptoms of gum ailment like purple or swollen gums, bleeding all through brushing, chronic awful breath, or gum wallet, deep cleansing is frequently necessary.
Who Needs Deep Teeth Cleaning?
Not every person calls for a deep dental cleansing. Dentists decide the want primarily based totally on examinations and measurements of gum wallet. Signs which you may want a deep cleansing include:
- Gums that bleed easily
- Red, swollen, or gentle gums
- Bad breath that persists
- Loose tooth
- Deep wallet among tooth and gums
- Visible tartar buildup beneath the gumline
If you’ve got got any of those signs and symptoms, it could suggest gum ailment (periodontitis) and your dental care company might also additionally advise scaling and root planing.
The Procedure: What to Expect
A ordinary deep tooth cleansing takes longer than a normal cleansing. The dentist or hygienist normally numbs the region with neighborhood anesthesia to lessen discomfort. Using specialised hand gear or ultrasonic scalers, your dental company will paintings each above and beneath the gumline to take away all deposits. It is not unusualplace to cut up the cleansing into visits, one for every 1/2 of of the mouth, for thorough care and comfort.
After the cleansing, you may obtain antibiotics both as a prescription or as an instantaneous software across the wiped clean roots to save you infection. Your issuer will even endorse you on aftercare, consisting of mild brushing, rinsing, and doubtlessly taking over the counter ache medicinal drug for minor pain.
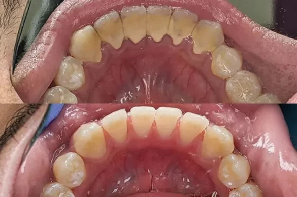
Benefits of Deep Teeth Cleaning
The predominant aim of deep cleansing is to forestall and opposite gum ailment. If finished on the proper stage, it may shop your enamel and enhance your oral fitness. Major advantages include:
- Removing micro organism and deposits that reason irritation and infection
- Helping gums reattach to the teeth roots, decreasing pocket depth
- Preventing lack of bone and tissue that preserve your enamel in place
- Stopping awful breath as a result of micro organism
- Reducing your chance for extreme gum ailment and destiny teeth loss
- Improving general fitness, considering that micro organism from gum ailment can journey into the bloodstream and have an effect on the complete body
For many patients, the long-time period development to oral fitness and the prevention of teeth loss make deep cleansing a treasured procedure.
Risks and Side Effects
Deep enamel cleansing is a safe, non-surgical treatment, however like every dental strategies, there may be aspect effects. Potential dangers include:
- Bleeding after treatment (normally moderate and transient)
- Gum recession because the swelling is going down (you can see greater of your teeth root)
- Tooth sensitivity to warm or cold, frequently transient and advanced with toothpaste for sensitivity
- Slight pain or tenderness withinside the gums, generally lasting some days
- Minor chance of infection, which may be averted with antibiotics if needed
- Teeth can also additionally experience a touch free proper after the cleansing—that is transient because the gums heal and reattach
If any signs persist, it’s far critical to touch your dental issuer speedy.
Recovery and Home Care
Most human beings get better speedy from deep cleansing. You can normally resume everyday sports the equal day, aleven though you can need to keep away from very warm, cold, or highly spiced meals for a brief time. Your dentist will manual you concerning brushing, flossing, and mouth rinses for the duration of the times after the procedure.
Excellent domestic care is vital for preserving the outcomes of your deep cleansing. Brush two times a day, floss at the least once, and maintain up with scheduled dental visits to make sure micro organism do now no longer return. Good oral hygiene practices restrict your probabilities of wanting some other deep cleansing.
Is Deep Teeth Cleaning Worth It?
The solution normally relies upon in your oral fitness status. If you’ve got got mild to extreme gum ailment, deep enamel cleansing is frequently the handiest first line of treatment. It can save you greater expensive, painful, and invasive strategies like gum surgical procedure withinside the destiny. Early intervention saves enamel and protects the shape of your smile.
While there are short-time period inconveniences which include pain or sensitivity, maximum experts agree that the blessings outweigh those brief effects. The fee of deep cleansing can be better than a everyday cleansing, and now no longer continually blanketed through primary dental coverage, however making an investment for your oral fitness now can save you larger fitness troubles and costs later.
In summary, deep tooth cleansing is really well worth it in case you want it primarily based totally to your dentist’s assessment. It can repair gum fitness, maintain your herbal tooth, and significantly enhance your high-satisfactory of life. Always talk your precise state of affairs and worries together along with your dental care provider.
Conclusion
Deep tooth cleansing (scaling and root planing) is a essential device in treating gum sickness and saving your herbal tooth. While now no longer all people wishes this treatment, it’s far regularly really well worth it for people with superior gum problems. The technique eliminates dangerous micro organism from regions a toothbrush can’t reach, permitting gums to heal and stopping similarly damage. If you enjoy signs and symptoms of gum sickness, are searching for expert assessment early. Remember, prevention and early movement are the high-satisfactory methods to guard your tooth and revel in a wholesome smile for life.
Frequently Asked Questions
Is deep tooth cleansing painful?
Deep tooth cleansing can purpose minor soreness or pain, however neighborhood anesthesia is used to make the technique comfortable. Any ache in a while is brief and may be controlled with over the counter medication.
How lengthy does the impact of deep cleansing ultimate?
With accurate dental hygiene, the effects can ultimate for years. Regular follow-up cleanings assist hold gum sickness from returning.
How lots does deep tooth cleansing fee?
The fee varies relying on place and the quantity of cleansing required. Some coverage plans cowl a part of the technique if medically necessary.
How can I save you the want for deep cleansing withinside the future?
Excellent at-domestic care—brushing, flossing, and everyday checkups—continues gums wholesome and decreases the probability of superior gum sickness.
Are there options to deep tooth cleansing?
For slight gum irritation, stepped forward oral hygiene and everyday cleanings might also additionally suffice. If gum sickness is superior, extra competitive remedies or surgical operation can be needed, however deep cleansing is the same old first step.

