When people talk about tooth fillings, one common question arises: is there truly a permanent tooth filling? Dental professionals use fillings to restore the shape, strength, and function of teeth damaged by decay, cracks, or other injuries. While fillings are sometimes called “permanent,” it is important to understand exactly what this means and how long they can really last.
Understanding tooth fillings
tooth fillings are a routine dental treatment used around the world. According to estimates, more than two billion people experience tooth decay, and dental fillings remain one of the most common solutions. When a tooth develops a cavity or crack, your dentist removes the decayed part and fills the area with a restorative material. This prevents further decay, restores the tooth’s structure, and often relieves pain.
Types of Tooth Filling Materials
Several materials are available for tooth fillings. Each type offers different characteristics in terms of durability, appearance, and cost. The most commonly used materials include:
1. composite resin fillings
Composite fillings are popular because they closely match natural tooth color. Composed of a resin base filled with tiny glass particles, they are shaped and sculpted directly in the tooth cavity. Dentists cure each layer of resin with a special light, making them blend seamlessly with your teeth. Composite fillings generally last between 5 and 10 years, though their longevity can depend on location in the mouth and the patient’s oral hygiene.
2. amalgam fillings
Amalgam is a blend of several metals, including silver, mercury, copper, and tin. These fillings have been used for over a century due to their strength and affordability. Amalgam is especially useful for molars, which endure heavy chewing forces. amalgam fillings are durable, lasting 10 to 15 years or more in some cases. However, their metallic appearance makes them less popular for visible teeth.
3. Porcelain (Ceramic) Fillings
porcelain fillings, often referred to as inlays or onlays, are designed in a dental lab and bonded to the tooth. They are preferred for their excellent aesthetics and high strength. Porcelain is more resistant to staining than composite resin. While porcelain fillings are more brittle, they can last up to 15 years or longer if well cared for.
4. gold fillings
gold fillings are cast in a dental laboratory and then cemented into place. They can last two decades or more and are often considered the most durable type of filling. However, gold is also the most expensive and not tooth-colored, which may be a concern for some patients.
Defining “Permanent” in Dentistry
The term “permanent filling” is often used in dental discussions but can be misleading. In dentistry, “permanent” generally means the filling is intended to last for many years, as opposed to “temporary” fillings, which are designed to be replaced soon. temporary fillings are soft and easy to remove, often placed between dental visits or when a tooth requires further treatment.
A permanent filling is placed with the intention of remaining in the tooth for as long as possible. However, even these fillings can eventually wear down, chip, or fall out due to the constant pressure of chewing, exposure to saliva, and the natural aging of materials.
Factors Affecting the Lifespan of a Tooth Filling
Many aspects influence how long a permanent filling will actually last. These include:
- Filling Material: Different materials have varying degrees of longevity. Gold and porcelain last longer than composite or amalgam.
- Tooth Location: Molars and premolars experience more pressure during chewing, leading to greater wear for fillings placed in the back of the mouth.
- Size of the Filling: Larger fillings cover more of the tooth and are prone to breaking or weakening the tooth structure over time.
- Oral Hygiene Practices: Good brushing, flossing, and regular dental check-ups can prolong a filling’s life.
- Bite Forces & Habits: Teeth grinding (bruxism), biting on hard objects, or chewing ice can damage fillings prematurely.
Signs That a Filling Needs Replacement
While a filling is meant to be long-term, it is not immune to problems. Signs that your filling may need attention or replacement include:
- Pain or sensitivity when eating or drinking
- A visible crack or roughness in the filling
- Food regularly getting stuck around the filled tooth
- The filling itself is missing or loose
- A dark spot or new hole appears on the filled tooth
If you notice any of these symptoms, a dental appointment is recommended to prevent further damage and discomfort.
Modern Trends in Tooth-Colored Fillings
Advancements in dental technology now allow fillings to closely mimic the natural appearance and texture of teeth. This is a major advantage, especially for front teeth where aesthetics matter most. Some dental resins are even available in bright colors, making tooth care more fun for children. Choosing a filling material is often a balance between appearance, strength, cost, and longevity.
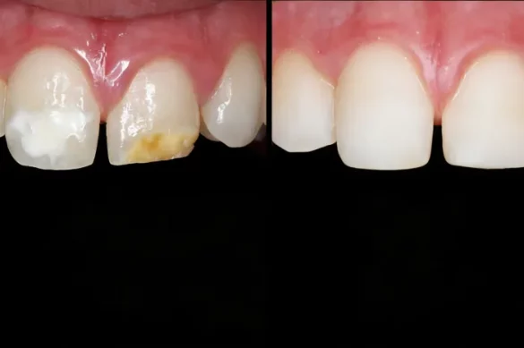
Replacing Old Silver Fillings
Many dental offices now offer to replace old silver (amalgam) fillings with tooth-colored alternatives. This can improve the strength of the tooth, reduce the risk of cracks, and create a more natural-looking smile. Replacing silver fillings is a multi-step process that typically requires two dental visits. During the first visit, the old filling is removed, impressions are taken, and a temporary restoration may be placed. The new custom filling is cemented during a second visit.
Preventing Decay After a Filling
One misconception is that a tooth with a filling can never develop another cavity. However, decay can form around or under a filling if oral hygiene slips or the filling deteriorates. To prevent new decay, it is essential to maintain proper brushing and flossing habits, and to visit the dentist for regular cleanings and checkups.
FAQs
How long does a tooth filling typically last?
Depending on the material, most fillings last between 5 and 20 years. Gold lasts the longest, followed by porcelain, amalgam, and composite resin.
Can a tooth filling fall out?
Yes, fillings can come loose due to wear, tooth decay, or trauma. If your filling falls out, see your dentist as soon as possible.
Is it safe to have old mercury amalgam fillings?
Current research shows that amalgam fillings are generally safe for most people, but certain groups, such as pregnant women or young children, may be at increased risk and should consult their dentist.
Can a filled tooth get a new cavity?
Yes, cavities can form around or under an existing filling. Good oral hygiene and regular dental check-ups help prevent this.
Are there fillings that look like natural teeth?
Yes, composite resin and porcelain fillings are designed to blend with your natural teeth, providing a nearly invisible restoration.
Conclusion
Is there such a thing as a truly permanent tooth filling? While modern dental materials offer remarkable durability, no filling should be considered permanent in the sense of lasting a lifetime without attention. With proper oral care and regular dental visits, however, fillings can last many years and effectively protect your teeth from further damage. It is important to choose the most suitable material with your dentist, practice good oral hygiene, and be mindful of the signs that a filling may need replacement or repair.

