
How to Treat An Abscess on Gum?
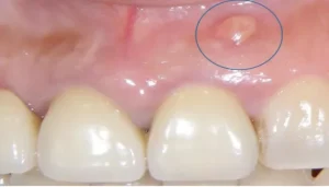
An abscess on the gum is a painful condition that occurs when a pocket of pus forms in the tissue surrounding a tooth. This infection

An abscess on the gum is a painful condition that occurs when a pocket of pus forms in the tissue surrounding a tooth. This infection
Dentalpost surveyed 366 dental assistants to create this year’s report. The survey was conducted from October to November 2024. Here are four notes on dental
HB 1803 authorizes Texas to join the interstate compact. The compact increases license portability across member states for dentists and hygienists, removing the need for

Tooth cavities, also known as dental caries or tooth decay, are one of the most common dental problems affecting people of all ages. They can
Efficient dental billing is pivotal for the smooth and successful operations of any dental practice. Several dental billing products and solutions are available to streamline

Choosing the right toothpaste can be a daunting task given the wide variety of options available. Whether you’re aiming to brighten your smile, soothe sensitivity,
Six notes: 1. The Dentist and Dental Hygienist Compact allows licensed dentists and dental hygienists to practice across all states participating in the compact with
The location provides services including general dentistry, pediatric dentistry, orthodontics, cosmetic dentistry and oral surgery, according to a Jan. 17 news release. West Coast Dental

Dr. William B. Dragan, an innovator in the dental industry who founded Centrix in 1970 from his home and under whose stewardship the enterprise grew
The GDC has released its annual registration figures which show that the number of dentists registered in the UK has increased by 3%. There were
Has your practice gone digital yet? While that question was frequently asked more than a decade ago, most dental practices have now embraced digital technology

Having braces can be an exciting step toward achieving a straighter smile, but it often comes with some discomfort. One of the most common complaints