Patrick Mahomes Joins Invisalign Smile Squad as Brand Ambassador
Quarterback Patrick Mahomes, known for his distinctive smile during his early NFL years, has officially partnered with Align Technology as a brand ambassador for the
Quarterback Patrick Mahomes, known for his distinctive smile during his early NFL years, has officially partnered with Align Technology as a brand ambassador for the
While new year’s resolutions rarely last, Pat Langley shares a few ‘quick wins’ to ensure your practice’s compliance this year. Despite our best intentions on 2

Confession: As a child, I wasn’t always the best at brushing my teeth. Instead of actually brushing, I’d sometimes just run water in the sink,

Denti.AI, a leading provider of AI-driven solutions for dental professionals, proudly announces that its Denti.AI Voice Perio product has surpassed 1 million completed periodontal charts.

Cavities, also known as dental caries, are one of the most common dental issues faced by people of all ages. They result from the demineralization
Everywhere you look, the dental marketplace is brimming with scanners. Especially in the last few years, many practices have taken the quantum leap from traditional
The Iowa Healthcare Credentialing Grant will provide $3 million in funding for employers to create or expand programs in high-demand occupations, including dental hygienists and

Braces are one of the most common and effective orthodontic treatments used to straighten teeth and improve the overall alignment of a person’s smile. Whether
Dentalpost surveyed 2,230 dental hygienists to create this year’s report. The survey was conducted from October to November 2024. Here is when responding hygienists said
Avant Garde Dentistry is launching 2025 with a bang! Learn more about the Same Day Smile hands-on training courses on offer. In 2025, the team

Gum graft surgery is a dental procedure designed to address gum recession, a condition where the gum tissue recedes from the teeth, exposing the tooth

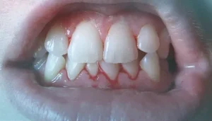
Gingivitis is a common and mild form of gum disease (periodontal disease) that causes irritation, redness, and swelling of your gums. It often happens due