
What Do Cavities Look like When They First Start
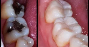
Cavities, also known as dental caries or tooth decay, are a common dental issue that can affect individuals of all ages. They begin as small

Cavities, also known as dental caries or tooth decay, are a common dental issue that can affect individuals of all ages. They begin as small

The toothpaste aisle has transformed into a dazzling showcase of options, with shelves brimming with products that promise to combat plaque, whiten teeth with charcoal,

Tooth sensitivity is a common dental issue that affects many people, but it’s not always caused by a cavity. When you feel pain or discomfort

Dental implants are a popular and effective solution for replacing missing teeth. They offer a permanent and natural-looking alternative to dentures and bridges. The process
The warranty covers function-related issues including failure and damage to the dental implants, according to a Dec. 26 news release. Zirconia hybrid implants are designed

Razel Zapanta, a third-year dental student at the Arizona School of Dentistry and Oral Health, shares her dental school journey on social media. In the
1. Boston-based Perceptive and Henderson, Nev.-based PDS Health finished the first successful clinical study of a 3D intraoral optical coherence tomography dental imaging system. 2.

Cavities, also known as dental caries, are one of the most common dental problems affecting people of all ages. They occur when the hard surface

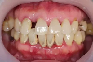
Periodontal disease is a prevalent oral health condition that can cause significant damage to the gums, periodontal ligament, and alveolar bone, potentially leading to tooth

Millions of people in England are left without access to dental care, with one in eight unable to secure a dentist, according to the latest

Dental health is a crucial aspect of overall well-being, yet many people often confuse terms related to oral health. Two commonly misinterpreted terms are “cavities”

Bleeding gums can be a distressing issue, often signaling underlying problems such as gum disease, poor oral hygiene, or even more serious health conditions. Many