
You Show Me Your Teeth, and I’ll Tell You Your Future: The Hidden Secrets of Your Smile
Your smile isn’t just a reflection of your mood—it’s a window into your overall health and even your psychological well-being. The state of your teeth

Your smile isn’t just a reflection of your mood—it’s a window into your overall health and even your psychological well-being. The state of your teeth

PENSACOLA, Fla. — A new initiative aimed at improving dental care access for veterans in Florida has been approved. The Florida Veterans Dental Care grant

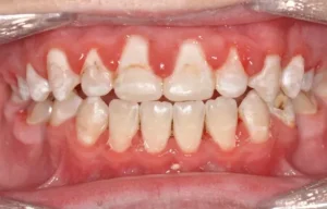
Cavities, also known as dental caries or tooth decay, are one of the most common dental problems affecting people of all ages. They occur when

Main Content Celebrating the Father of Modern Dentistry in India Dr. Amrita Das & Dr. Reshma Pawar (Assistant Professors, Saraswati Dhanwantari Dental College, Parbhani, Maharashtra)

In the world of orthodontics, the question of whether braces can be worn is a common concern for patients. The relationship between tooth decay and

Teaching children to care for their teeth is a crucial responsibility that lays the foundation for their oral health and overall quality of life. It

Main Content Surprising Links Between Malocclusions and Tooth Loss: What Dentists Need to Know A 20-year study from Germany has revealed insights into how malocclusions

In the pursuit of a straighter and more beautiful smile, many individuals turn to orthodontic treatment with braces. However, one crucial aspect that often comes

As the new year approaches, it’s the perfect time to prioritize your smile with Kraja & Sidhu Dental. A healthy, radiant smile is your best

GRAND JUNCTION, Colo. (KJCT) — Comfort Dental marked a significant milestone on December 23, 2023, by hosting its 40th Annual Free Care Day. For the

Tooth decay, also known as dental caries, is a common yet serious dental issue that affects individuals of all ages. The primary culprits behind tooth

When it comes to oral health, many people use the terms “gum disease” and “periodontal disease” interchangeably. However, while both refer to problems related to