
What Medicines Are Needed to Treat Gingivitis?
Gingivitis, a common and mild form of gum disease (periodontal disease), causes irritation, redness, and swelling (inflammation) of your gingiva, the part of your gums

Gingivitis, a common and mild form of gum disease (periodontal disease), causes irritation, redness, and swelling (inflammation) of your gingiva, the part of your gums
1. MB2 Dental made its first practice addition in Iowa, marking the 44th state in its nationwide network. 2. The dental partnership organization announced a
The dental partnership organization added Pleasant Dentistry in Cumming, Ga., earlier this month. It has now added Roberts Family Dental in Decatur, Ga. Imagen also

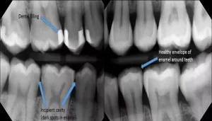
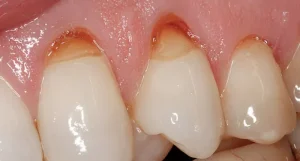
Maintaining optimal oral health is essential not just for a beautiful smile but also for overall well-being. Dental fillings are a common solution for cavities
A new treatment plan: John Makin reflects on the state of the dental service at the end of the year and what needs to change

With the holidays approaching, sportscaster Erin Andrews has curated a list of her favorite beauty and travel essentials, perfect for gifting or treating yourself. From

Dental fillings are a common solution for cavities and tooth decay, providing a protective barrier that restores the tooth’s function and integrity. However, over time,

The state of NHS dentistry in England has reached a breaking point, with millions struggling to access essential care. Rachel Power, chief executive of the

A sore tooth can be an uncomfortable and alarming experience. When you feel pain or discomfort in a tooth, it’s common to assume that the

Linda Nolan, 65, has shown remarkable resilience and humor as she continues her nearly two-decade-long battle with cancer. First diagnosed with breast cancer in 2006,

Dental implants and crowns are significant dental procedures that can enhance oral function and aesthetics. However, they often come with a hefty price tag. Dental
Dr. Mehler recently spoke with Becker’s to discuss how specialty dentistry has evolved this year and where it’s headed in 2025. Editor’s note: This response