For the first time, an international collaboration of researchers has succeeded in creating a complete overview of all pain conditions in the face, mouth, and jaw
As sweet soft drinks and excessive sugar increase the risk of dental caries and periodontal disease, healthy eating habits need to be prioritized more, according
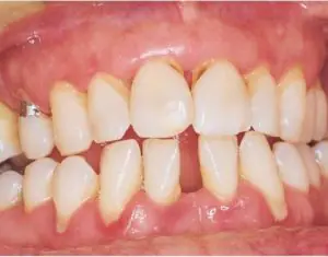
Smoking doesn’t just damage respiratory and cardiovascular health. It also impacts the oral cavity, leading to bad breath, tooth discoloration, and, eventually, bone loss, according
Patients with significant stomatognathic disorders may face surgery, reconstruction, and physical therapy, especially when the masseter muscles are affected. The ability to chew, after all,