
How Much is a Filling on a Molar?
When it comes to dental health, one of the most common procedures people undergo is getting a filling for a molar. Fillings are used to

When it comes to dental health, one of the most common procedures people undergo is getting a filling for a molar. Fillings are used to

Recently, the centralized procurement of oral orthodontic brackets led by Shaanxi officially released a document, limiting the minimum effective reduction in the bid price of
EL PASO, Texas – As the Hunt School of Dental Medicine prepares for its historic first graduation, the GECU Foundation has made a significant contribution

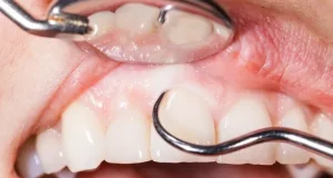
A cavity is a small hole that forms in your tooth when the enamel is damaged by decay. Getting a filling is one of the

NEW YORK, March 4, 2025 — Torch Dental, a leading technology platform specializing in dental supply discovery, ordering, and spend management, has officially partnered with

PDS Health™, a leading integrated healthcare support organization, is proudly joining the American Dental Assistants Association in celebrating Dental Assistants Recognition Week (DARW), from March

NHS England is facing a dental care crisis, with an estimated 2.2 million people in urgent need of treatment but unable to secure an NHS

Braces and dentures are both common dental treatments used to address various dental concerns, but many people wonder if these two devices can be worn
Cavities are one of the most common dental issues people face, and they can occur in any part of the mouth, including the front teeth.
Rehabilitating endodontically treated teeth (ETT) that have suffered significant structural compromise remains a complex challenge for dental professionals. It demands precise planning and careful consideration
Dr. Shireen, an NHS GP known for her insightful social media videos, has shared an important message with her followers regarding dental care. In a

Braces are a common treatment for individuals seeking to correct misaligned teeth, improve their smile, and address bite issues. On the other hand, crowns are