
Pensioner Takes Extreme Measures Due to Lack of NHS Dental Access
In a distressing turn of events, a pensioner has resorted to extracting two of her own teeth after struggling for four years to secure an

In a distressing turn of events, a pensioner has resorted to extracting two of her own teeth after struggling for four years to secure an

Getting a dental filling is a common procedure. Many people experience this at some point in their lives. However, many may not fully understand what

Tooth sensitivity after a filling can be a frustrating and uncomfortable experience. Many patients find themselves wondering why their teeth are sensitive after a dental

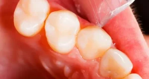
Cavities are a common dental issue that can affect people of all ages. They occur when tooth decay damages the structure of a tooth. If

According to the 2024 Oral Health Survey conducted by Denplan, a dental payment plan provider, over 5,000 consumers across Britain were surveyed, revealing significant trends

Britons are increasingly resorting to drastic measures, including extracting their own teeth with pliers and alcohol, due to what industry leaders are calling a “national

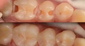
Composite fillings are a popular dental solution for treating cavities and restoring damaged teeth. They offer an aesthetic advantage over traditional materials, blending seamlessly with

Composite fillings are a popular choice for treating cavities due to their aesthetic appeal and effectiveness. These fillings are made from a mixture of plastic

Getting a cavity filled is a common dental procedure that many individuals undergo to restore the health and functionality of their teeth. While the procedure

Implant-supported dentures have emerged as a leading solution for individuals missing all their upper or lower teeth. Icon Dentures highlights the unique advantages of these

Cavities are a common dental issue that many people face at some point in their lives. When tooth decay progresses, it can lead to discomfort

When you visit the dentist and find out that you need a filling, the type of filling used can impact both your oral health and