
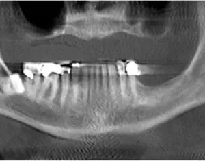
Henry Ford Physician Leads Consensus Report on Odontogenic Sinusitis
John Craig, MD, of the Henry Ford Health System is leading an international research effort to improve multidisciplinary collaboration between otolaryngologists and dental providers around


