
Keelung Kindergarten Parent-Child Teeth Cleaning Carnival
The kindergarten parent-child teeth cleaning carnival was held at the Ocean University, with 300 parents and children signing up to participate. It was quite enthusiastic,

The kindergarten parent-child teeth cleaning carnival was held at the Ocean University, with 300 parents and children signing up to participate. It was quite enthusiastic,

Keelung City Government and Keelung Dentists Association jointly held the “114th Kindergarten Parent-Child Teeth Cleaning Observation Carnival” at the National Ocean University this weekend to

The Department of Health today (21st) launched the “Youth Dental Care Co-governance Pilot Scheme”, which encourages young people aged 13 to 17 to go to

The “Youth Dental Care Co-governance Pilot Program” launched by the Hong Kong government was launched today (20th). Young people aged 13 to 17 who hold

Today is World Oral Health Day. Teeth cleaning is an important part of oral care, but many people still have doubts about teeth cleaning. Dentist

The Department of Health’s “Youth Tooth Care Co-management Pilot Scheme” will be launched on the 20th of this month, subsidizing eligible young people aged 13

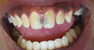
Maintaining oral health is essential, but many people overlook the importance of regular dental visits. This is the case with 66-year-old Lai Naixin, who went

Fluoride treatments after a teeth cleaning are a common recommendation by dentists, especially for those at a higher risk of tooth decay. While the procedure

Jiahui Health is offering exclusive discounts on dental care packages for SmartShanghai readers, with savings of up to 50%. Special offers include ultrasonic teeth cleaning

Turners Falls, MA – March, 2025 – Preschoolers at the Central Street Head Start program received essential dental care this week as part of a

Preschoolers at the Central Street Head Start program in Franklin County are getting an important early start on dental health, thanks to a free, two-day
A Colorado dentist is calling out Humana after the insurance company denied a routine teeth cleaning claim for an elderly patient, sparking public outrage over