Written by: Yael Engel, DDS, MSc
According to the American Dental Association (ADA), there were 202,203 active dentists in the United States in 2023, corresponding to an average of 60.4 per 100,000 inhabitants. With this figure increasing each year, practitioners face growing pressure to differentiate themselves in a highly competitive market.
While investing in continuing education and modernizing the dental office are essential steps, what truly sets a practice apart is providing patients with a unique experience that combines comfort, efficiency, and high-quality results. In this regard, the LiteTouch Er:YAG laser (Light Instruments) has become a strategic ally.
Beyond distinguishing dentists from their peers, the LiteTouch enables faster treatments, often with little or no need for anesthesia, while also promoting healthier ergonomics for the clinician. This combination not only enhances patient well-being but also supports the long-term sustainability of the dental professional’s career by allowing more precise treatments with reduced physical strain.
The LiteTouch Er:YAG dental laser, operating at a wavelength of 2,940 nm, is optimally absorbed by water and highly absorbed by hydroxyapatite, 2 of the main components of both hard and soft tissues. This results in minimal thermal effect, reduced pain, bio-stimulation of tissues, and faster healing compared to conventional surgical methods. Its innovative Laser-in-Handpiece Technology delivers energy directly to the target tissue, ensuring stable and controlled performance.
A key advantage of the LiteTouch All-Tissue laser is its versatility. Its applications range from conservative restorative dentistry, such as caries removal, to more complex procedures including debonding of ceramic restorations (veneers, crowns, inlays, onlays), bone ablation, implant surface decontamination, calculus removal and periodontal pocket disinfection, endodontic irrigation, and dentin hypersensitivity treatment. The following clinical cases illustrate some of these applications.
Porcelain Veneer Removal
Removing porcelain veneers and crowns is traditionally considered a challenging procedure, as conventional methods rely on mechanical drilling that is time-consuming and carries the risk of damaging the underlying tooth structure.
The LiteTouch Er:YAG laser provides a highly effective alternative by targeting only the bonding material, allowing the porcelain to be detached precisely and efficiently without harming the surrounding tooth. This method provides efficient porcelain removal with reduced risk of damage to the underlying structure and improved patient comfort (Figure 1).

Gingivectomy and Crown Lengthening
Beyond restorative procedures, the LiteTouch has also shown significant benefits in periodontics and implantology. The laser enables precise gingival contouring with minimal thermal side effects, often reducing or eliminating the need for anesthesia. The controlled ablation and precision contribute to improved visibility and customization for each patient during the procedure and better clinical outcomes.
In crown lengthening, the laser provides flexibility for both flapless and flap techniques, facilitating accurate management of soft and hard tissues. Furthermore, its bio-stimulatory effect promotes faster tissue regeneration and reduces postoperative discomfort (Figure 2).

Peri-implantitis Treatment
The LiteTouch Er:YAG laser is an effective tool for the management of peri-implantitis. Its wavelength allows safe application on all tissue without causing alterations to the implant surface or compromising the surrounding structures, thereby preserving osseointegration. In addition, the laser enables effective access to difficult-to-reach areas, such as implant grooves and threads, facilitating thorough decontamination and contributing to improved clinical outcomes (Figure 3).

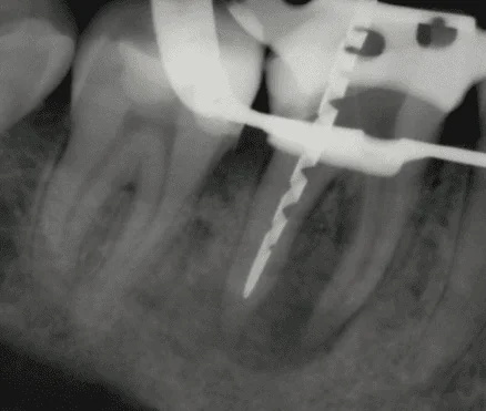
Endodontics Applications
The LiteTouch Er:YAG laser has demonstrated high effectiveness in eliminating bacterial biofilm and smear layer throughout the root canal system, including anatomically complex areas such as dentinal tubules, lateral canals, isthmuses, ramifications, and the apical region. This enhances the penetration of the irrigant and improves the prognosis of both. Beyond the Laser-Activated Irrigation, the LiteTouch can also be applied in surgical procedures such as apicectomy. It is suitable for all stages of the surgery, including flap release, bone ablation, granulation tissue removal, and apical resection. This minimally invasive approach ensures thorough decontamination of the surgical site and contributes to favorable healing (Figure 4).

For more information, visit light-inst.com.
ABOUT THE AUTHOR
Dr. Yael is a qualified professional in the field of dentistry, holding both a DDS and an MSc in Restorative Dentistry from the School of Dentistry at the University of São Paulo in Brazil. With a strong focus on research, Dr. Yael has authored articles that specifically explore the applications of all-tissue lasers and the prevention of dental demineralization. She has worked in private dental clinics, where she has successfully applied her theoretical knowledge and developed practical skills. In addition, she has been actively working with lasers, enhancing her expertise in utilizing advanced laser technology to improve dental treatments.


