Periodontal diseases are a group of conditions that affect the tissues surrounding and supporting the teeth. These diseases are a significant concern as they can lead to tooth loss, gum recession, and other oral health problems if left untreated. Understanding the common types of periodontal diseases is crucial for both dental professionals and the general public to ensure early detection and appropriate treatment.
Gingivitis
Causes
Gingivitis is the mildest and most common form of periodontal disease. It is primarily caused by the buildup of plaque on the teeth. Plaque is a sticky film of bacteria that forms constantly on the tooth surfaces. When plaque is not removed through regular brushing and flossing, it can irritate the gums. Poor oral hygiene habits, such as infrequent brushing, not using dental floss, or using the wrong brushing technique, are major contributors. Additionally, hormonal changes during puberty, pregnancy, and menopause can make the gums more sensitive and prone to gingivitis. For example, pregnant women may experience pregnancy gingivitis due to increased levels of hormones in the body, which can cause the gums to become inflamed and bleed more easily.
Symptoms
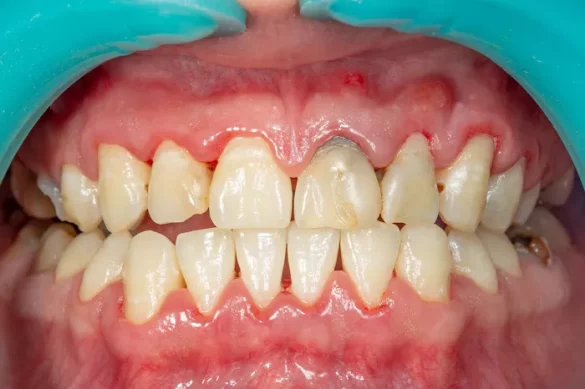
The main symptoms of gingivitis include red, swollen gums. The gums may also bleed easily, especially during brushing or flossing. There may be a bad taste in the mouth or a persistent bad breath. For instance, a patient with gingivitis might notice that their gums bleed when they brush their teeth in the morning. The gums may have a shiny appearance and be tender to the touch. However, at this stage, the disease has not yet affected the bone and ligament that support the teeth.
Treatment and Prevention
Treatment for gingivitis focuses on improving oral hygiene. The patient is advised to brush their teeth at least twice a day with a soft-bristled toothbrush and use dental floss daily to remove plaque. Professional dental cleanings are also essential.
The dentist or dental hygienist will remove the plaque and tartar (hardened plaque) from the teeth above and below the gum line. This is usually done through a process called scaling and root planing. To prevent gingivitis, maintaining good oral hygiene practices is key. Avoiding sugary and sticky foods that can contribute to plaque buildup is also beneficial. For example, reducing the consumption of candies and soft drinks can help keep the teeth and gums healthier.
Periodontitis
Causes
Periodontitis develops when gingivitis is left untreated. The bacteria in the plaque continue to multiply and spread, causing inflammation that extends deeper into the gums and affects the periodontal ligament and the alveolar bone. Smoking is a major risk factor for periodontitis. The chemicals in tobacco smoke can damage the gum tissue and reduce the blood supply to the gums, making it harder for the body to fight off the infection. Additionally, diabetes, as it affects the body’s ability to control blood sugar levels, can also increase the risk of developing periodontitis. For example, a diabetic patient with poorly controlled blood sugar may have a more severe case of periodontitis compared to a non-diabetic patient with the same level of plaque buildup.
Symptoms
Symptoms of periodontitis include deepening of the gum pockets. Normally, the space between the gum and the tooth is very small, but in periodontitis, this space can increase as the gum tissue pulls away from the tooth. There may be tooth mobility, where the teeth feel loose. Bad breath and a bad taste in the mouth may become more pronounced. For instance, a patient may notice that their front teeth are starting to feel wobbly, and they have a persistent unpleasant smell coming from their mouth. There may also be gum recession, where the gums pull back and expose more of the tooth root.
Treatment and Prevention
Treatment for periodontitis is more involved than for gingivitis. It may include deep scaling and root planing to remove the bacteria and tartar from the root surfaces of the teeth. In some cases, surgery may be required. For example, flap surgery may be done to access and clean the deeper pockets and promote gum tissue healing. Bone grafting may be necessary if there has been significant bone loss. To prevent periodontitis, it is important to manage any underlying health conditions such as diabetes. Quitting smoking is also crucial. Regular dental check-ups and cleanings are essential to catch any signs of periodontitis early and prevent its progression.
Aggressive Periodontitis
Causes
Aggressive periodontitis is a more severe form of the disease that usually affects younger individuals. The exact cause is not fully understood, but it is believed to involve a combination of genetic and environmental factors. Some studies suggest that certain bacteria may be more virulent in causing aggressive periodontitis. There may also be an abnormal immune response in the body that leads to a more rapid destruction of the periodontal tissues. For example, a young adult with a family history of gum disease may be at a higher risk of developing aggressive periodontitis.
Symptoms
Symptoms can appear suddenly and progress rapidly. There is often significant bone loss around the teeth, even in the absence of much plaque buildup. The teeth may become very loose in a short period of time. There may be abscesses (pus-filled pockets) around the teeth. For instance, a teenager might notice that several of their back teeth have become loose within a few months, and there are painful swellings around the gums.
Treatment and Prevention
Treatment requires immediate and intensive intervention. It may involve a combination of antibiotics to control the infection, deep scaling and root planing, and sometimes surgery. The patient’s oral hygiene needs to be closely monitored and improved. Since genetic factors play a role, family members of those with aggressive periodontitis should be screened regularly for early signs of the disease. Maintaining a healthy lifestyle, including a balanced diet and regular exercise, may also help in preventing the onset or progression of aggressive periodontitis.
Conclusion
Periodontal diseases, including gingivitis, periodontitis, and aggressive periodontitis, can have a significant impact on oral health. Recognizing the causes, symptoms, and appropriate treatment and prevention methods for each type is essential. Good oral hygiene practices, regular dental check-ups, and addressing any underlying health conditions are the cornerstones of preventing and managing periodontal diseases. By being vigilant and taking proactive steps, individuals can maintain healthy gums and teeth and avoid the more serious consequences of periodontal diseases, such as tooth loss and chronic oral health problems. Dental professionals also play a crucial role in educating patients about these diseases and providing timely and effective treatment to preserve the integrity of the periodontal tissues and the overall health of the oral cavity.

