/
/
What Causes Hyperplasia of The Gums?

What Causes Hyperplasia of The Gums?

Hyperplasia of the gums, also known as gingival hyperplasia or gingival overgrowth, is a condition characterized by an abnormal increase in the size of the gum tissue. This enlargement can affect oral health, aesthetics, and comfort.

Understanding the causes of gingival hyperplasia is essential for proper diagnosis, treatment, and prevention. This article explores the various factors that contribute to gum hyperplasia and offers insights into how it can be managed effectively.

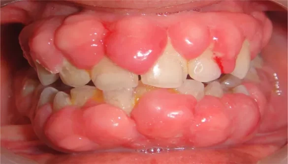
What Is Gingival Hyperplasia?

Gingival hyperplasia refers to the excessive growth of gum tissue, often leading to swollen, thickened, or protruding gums.

The condition may affect a specific area of the gums or extend to the entire gumline. It can occur in individuals of all ages but is more common in certain populations based on the underlying causes.

Types of Gingival Hyperplasia

Inflammatory Gingival Hyperplasia: Caused by chronic inflammation, usually due to plaque and tartar buildup.

Drug-Induced Gingival Hyperplasia: Linked to specific medications that promote abnormal tissue growth.

Hereditary Gingival Fibromatosis: A rare genetic condition causing progressive gum enlargement.

Systemic Disease-Associated Gingival Hyperplasia: Related to systemic health issues, such as hormonal changes or certain illnesses.

Common Causes of Gingival Hyperplasia

Poor Oral Hygiene

Poor oral hygiene is a leading cause of gingival hyperplasia. When plaque and tartar accumulate along the gumline, bacteria thrive, leading to inflammation and swelling of the gum tissue. If left untreated, this inflammation can contribute to chronic overgrowth.

Key Factors:

Infrequent brushing or flossing.

Inadequate removal of plaque.

Failure to visit the dentist for professional cleaning.

Medications

Certain drugs are well-known for causing gingival hyperplasia as a side effect. These medications promote the growth of connective tissue in the gums, leading to excessive enlargement.

Common Culprits:

Anticonvulsants: Drugs like phenytoin, used to treat epilepsy.

Calcium Channel Blockers: Medications such as nifedipine and amlodipine, often prescribed for hypertension.

Immunosuppressants: Drugs like cyclosporine, used in organ transplant patients to prevent rejection.

Hormonal Changes

Hormonal fluctuations, especially during puberty, pregnancy, or menopause, can contribute to gum hyperplasia. Elevated hormone levels can increase the sensitivity of gum tissue to plaque, leading to inflammation and overgrowth.

Key Periods:

Puberty: Hormonal surges increase blood flow to the gums, making them more susceptible to swelling.

Pregnancy: Hormonal changes during pregnancy can lead to a condition called “pregnancy gingivitis,” characterized by swollen and enlarged gums.

Menopause: Hormonal imbalances may also contribute to gum changes during menopause.

Genetic Factors

Hereditary Gingival Fibromatosis (HGF) is a rare genetic disorder that causes slow but progressive gum enlargement. The condition is usually evident from a young age and may require surgical intervention to manage.

Characteristics:

Non-inflammatory overgrowth.

Firm, fibrotic gum tissue.

Often associated with other dental anomalies.

Systemic Diseases

Systemic health conditions can contribute to gingival hyperplasia by altering immune responses or promoting inflammation.

Common Conditions:

Leukemia: Enlargement of the gums is a common oral manifestation of leukemia due to the infiltration of leukemic cells into gum tissue.

Diabetes: Poorly controlled diabetes can exacerbate gum inflammation and overgrowth.

Nutritional Deficiencies: Deficiencies in vitamins like Vitamin C can weaken gum tissue and increase susceptibility to overgrowth.

Dental Appliances

Improperly fitted dental appliances, such as braces, retainers, or dentures, can irritate the gums, leading to inflammation and hyperplasia. Poor cleaning of these devices can exacerbate the condition.

Contributing Factors:

Chronic irritation from ill-fitting appliances.

Accumulation of plaque around orthodontic hardware.

Tumors or Growths

In rare cases, gingival hyperplasia may result from benign or malignant tumors in the gum tissue. These growths require immediate medical attention for diagnosis and management.

Types:

Fibromas: Benign fibrous growths.

Pyogenic Granulomas: Localized, inflammatory growths often linked to trauma or irritation.

Cancerous Growths: Require prompt diagnosis and treatment.

Signs And Symptoms of Gingival Hyperplasia

Common Symptoms:

Swollen or enlarged gums.

Red or purplish gum tissue.

Bleeding during brushing or flossing.

Difficulty eating or speaking due to excessive gum tissue.

Increased gaps or misalignment of teeth in severe cases.

When to See a Dentist:

Persistent gum swelling.

Bleeding gums without obvious cause.

Discomfort or pain in the gums.

Noticeable changes in gum appearance.

Diagnosing Gingival Hyperplasia

A dentist or periodontist diagnoses gingival hyperplasia through:

Clinical Examination: Visual inspection of gum tissue.

Medical History Review: Assessing medications, genetic predispositions, and systemic health conditions.

X-rays or Imaging: Evaluating underlying bone and tooth structures.

Biopsy (if needed): Ruling out malignant growths or confirming rare conditions like HGF.

Treatment Options for Gingival Hyperplasia

Professional Dental Cleaning

Regular dental cleanings help remove plaque and tartar, reducing inflammation and halting the progression of gum overgrowth.

Medication Adjustment

For drug-induced hyperplasia, a healthcare provider may recommend adjusting the medication or switching to an alternative. Always consult your doctor before making any changes to prescribed medications.

Improved Oral Hygiene

Maintaining good oral hygiene practices is crucial:

Brush twice daily with a soft-bristled toothbrush.

Use fluoride toothpaste.

Floss regularly to remove debris between teeth.

Surgical Intervention

In severe cases, surgical procedures may be necessary to remove excess gum tissue and restore normal function and appearance. Options include:

Gingivectomy: Surgical removal of overgrown gum tissue.

Laser Therapy: A minimally invasive option to reshape the gums.

Managing Underlying Conditions

Treating systemic diseases or hormonal imbalances can help control gum hyperplasia. For example:

Managing diabetes effectively.

Addressing nutritional deficiencies with supplements or dietary changes.

Alternative Treatments

For patients unable to undergo surgery, alternative treatments like scaling, root planing, or specialized dental rinses may provide relief.

Preventing Gingival Hyperplasia

Key Strategies:

Maintain excellent oral hygiene.

Visit your dentist regularly for checkups and professional cleaning.

Address systemic health issues promptly.

Ensure proper fitting and cleaning of dental appliances.

Discuss medication side effects with your healthcare provider.

Conclusion

Gingival hyperplasia can result from various factors, including poor oral hygiene, medications, hormonal changes, genetic conditions, systemic diseases, and irritation from dental appliances. Recognizing the underlying cause is essential for effective treatment and prevention. By practicing good oral hygiene, addressing systemic health issues, and seeking professional dental care, you can manage or prevent gingival hyperplasia and maintain healthy gums.

Related topics:

  • Which Vitamin Deficiency Causes Gum Bleeding?
  • What Are Signs of Gum Disease?
  • Do Gums Grow Back After Trauma?
WhatsApp