Noticing dark discoloration around your dental fillings can be alarming. Many patients become concerned when they see black lines or shadows forming at the edges of their fillings. This article explains the common causes of this discoloration, when you should be concerned, and what treatment options are available.
Common Causes of Blackening Around Fillings
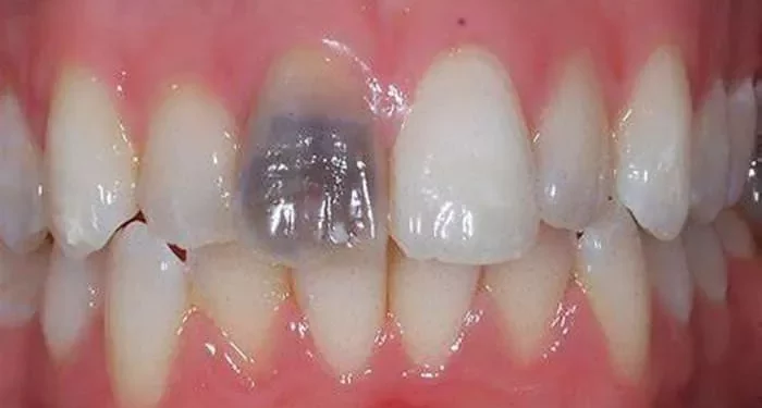
Amalgam Fillings and Metal Staining
Traditional silver (amalgam) fillings often cause:
- Natural darkening as the metal oxidizes over time
- Microscopic metal particles spreading into tooth structure
- Grayish shadows visible through translucent enamel
Tooth Decay Recurrence
New decay developing at filling edges appears as:
- Dark brown or black discoloration
- Soft or sticky areas when probed
- Possible sensitivity to hot/cold or sweets
Microleakage and Marginal Breakdown
Gaps between filling and tooth allow:
- Bacteria and stains to penetrate
- Fluid movement causing discoloration
- Further decay development
Aging Composite Fillings
White (composite) fillings may darken due to:
- Staining from coffee, tea or tobacco
- Degradation of bonding materials
- Wear and tear over time
Types of Filling Materials and Their Staining Potential
Amalgam Fillings
Characteristics:
- Contains silver, mercury, tin and copper
- Naturally darkens over 5-10 years
- May create gray “halo” effect in tooth
Composite Resin Fillings
Characteristics:
- Tooth-colored plastic material
- Prone to surface staining
- May show dark margins if bonding fails
Porcelain Fillings
Characteristics:
- Most stain-resistant
- Can still show dark lines if cement fails
- Most expensive option
Glass Ionomer Fillings
Characteristics:
- Used for children or temporary fillings
- More porous than composites
- Stains easily
When to Be Concerned About Blackened Fillings
Signs of Active Decay
Warning signs include:
- Discoloration spreading beyond filling edges
- New sensitivity or pain
- Bad taste coming from the tooth
- Visible holes or cracks
Failing Fillings
Indicators of failure:
- Rough edges you can feel with your tongue
- Food constantly getting stuck
- Filling feels loose
- Visible cracks in filling material
Normal Aging vs. Problems
Normal aging:
- Gradual, even darkening
- No sensitivity changes
- No structural changes
Potential problems:
- Rapid color change
- New symptoms develop
- Obvious structural damage
Diagnosis of Discoloration Around Fillings
Visual Examination
Dentists look for:
- Color, location and pattern of staining
- Margin integrity
- Signs of recurrent decay
- Crack lines
Tactile Examination
Using dental tools to check:
- Surface texture changes
- Soft areas indicating decay
- Filling edges for gaps
Diagnostic Tests
May include:
- Bitewing X-rays to see between teeth
- Transillumination (light through tooth)
- Laser fluorescence devices
- Dye tests to reveal cracks
Treatment Options for Blackened Fillings
Filling Replacement
Most common solution:
- Remove old filling and decay
- Clean and prepare tooth
- Place new filling material
Dental Crowns
Recommended when:
- Tooth structure is extensively damaged
- Large fillings need reinforcement
- Cracks are present
Veneers
For front teeth with:
- Surface-level staining
- Cosmetic concerns
- Minimal structural damage
Tooth Whitening
May help with:
- Intrinsic staining
- Mild discoloration
- When combined with other treatments
Preventing Discoloration Around Fillings
Proper Oral Hygiene
Essential practices:
- Brushing twice daily with fluoride toothpaste
- Flossing around fillings daily
- Using antimicrobial mouthwash
Dietary Modifications
Reduce consumption of:
- Coffee, tea and red wine
- Tobacco products
- Highly pigmented foods (berries, soy sauce)
Regular Dental Visits
Important for:
- Early detection of problems
- Professional cleanings
- Preventive treatments like fluoride
Choosing Appropriate Materials
Considerations:
- Visibility of tooth
- Biting forces
- Aesthetic concerns
- Budget
Special Considerations for Different Teeth
Front Teeth
Special concerns:
- More visible discoloration
- Thinner enamel
- Higher aesthetic demands
- Often better suited to composite or porcelain
Back Teeth
Special concerns:
- Greater chewing forces
- Less visible staining
- May require stronger materials
- Often use amalgam or gold in some cases
The Science Behind Filling Discoloration
Oxidation Process
In amalgam fillings:
- Metal components react with saliva
- Forms oxides and sulfides
- Creates dark corrosion products
Microgap Formation
How stains penetrate:
- Microscopic spaces develop at margins
- Measured in microns (thousandths of mm)
- Allow stain molecules to seep in
Dentinal Tubule Staining
Tooth structure factors:
- Tiny channels in dentin absorb stains
- More permeable than enamel
- Show through translucent enamel
When to Seek Immediate Treatment
Emergency Situations
Require prompt attention:
- Sudden, severe pain
- Visible swelling
- Broken filling with sharp edges
- Tooth mobility
Progressive Problems
Should be addressed soon:
- Rapidly spreading discoloration
- Increasing sensitivity
- Bad taste that persists
- Obvious holes developing
Cost Considerations for Treatment
Filling Replacement Costs
Vary by material:
- Amalgam: 100?100?250
- Composite: 150?150?400
- Gold: 500?500?1500
- Porcelain: 900?900?2000
Insurance Coverage
Typical policies:
- Cover basic materials
- May have copays for premium options
- Often limit frequency of replacements
Long-Term Value
Considerations:
- Durability of materials
- Prevention of future problems
- Aesthetic benefits
Home Care for Discolored Fillings
Temporary Measures
While waiting for dental visit:
- Maintain excellent hygiene
- Avoid staining substances
- Use sensitivity toothpaste if needed
- Monitor for changes
What Not to Do
Avoid:
- Picking at filling edges
- Using harsh whitening products
- Ignoring symptoms
- Delaying professional care
Future Developments in Filling Materials
Bioactive Materials
Emerging technologies:
- Release calcium and phosphate
- Help remineralize tooth structure
- May reduce microleakage
Improved Composites
Advancements include:
- Better stain resistance
- Stronger bonding
- Longer lifespan
Smart Fillings
Potential features:
- Color-change indicators for decay
- Antibacterial properties
- Self-healing capabilities
Conclusion
Black discoloration around fillings can result from various causes, ranging from harmless metal staining to serious recurrent decay. While amalgam fillings often create grayish halos that are primarily cosmetic, any sudden or progressive darkening should be evaluated by a dentist. Modern dentistry offers multiple solutions, from simple filling replacements to more extensive restorations like crowns.
The best approach combines professional treatment with excellent oral hygiene and regular dental checkups. By understanding the causes of filling discoloration and taking preventive measures, you can maintain both the health and appearance of your restored teeth. If you notice concerning changes around your fillings, don’t hesitate to schedule a dental examination – early intervention typically leads to simpler, more affordable treatments.

