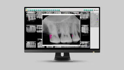
Leading innovator of dental imaging technologies, sensors, intraoral scanning, and CBCT solutions, DEXIS announces the launch of the DEXassist solution with 2D findings powered by Assisted Intelligence (AI). The DEXassist solution integrates AI features from DTX StudioTM Clinic into DEXIS 10 Imaging Suite Software. The solution helps practitioners to detect six pathologies in 2D intraoral X-rays including carries, calculus, bone loss, periapical radiolucency, root canal filing deficiency and discrepancy at margin of an existing restoration. Built on the proven DEXIS Imaging Suite Software platform, the DEXassist solution is designed to enhance diagnostic confidence, efficiency, and productivity.
The DEXassist solution seamlessly integrates with practices’ existing DEXIS 10 software for fast access to capture 2D intraoral X-ray images with your existing DEXIS sensors, requiring no additional training.
“Integration with current DEXIS software means that installation is quick and easy for practices that are already familiar with DEXIS systems,” says Lori Clements, Vice President, Commercial, North America at DEXIS. “This allows staff to begin using DEXassist right away without having to learn how to operate a new system.”
The DEXassist solution additionally allows dentists to leverage AI-enabled 2D findings for efficiency when diagnosing patient conditions and planning treatments. With a simple click, clinicians can identify up to six different focus areas when acquiring X-rays directly in DEXIS software.
“DEXassist’s AI solution helps to identify and supports diagnoses in up to six areas of dental pathologies, helping clinicians and staff to save time and optimize patient care,” explains Brian Gooch, Vice President, Global Product Management. “DEXassist also allows practitioners to share AI findings with patients in an easy-to-understand format when discussing their diagnosis and treatment plan.”
This newest software solution enables standardization in workflows and streamlines processes across the practice.
Because DEXassist is built on a proven DEXIS software platform, practices can expect the same reliable performance they’ve come to associate with the DEXIS software they use every day. For added confidence, DEXIS offers a 30-day free trial for the DEXassist solution.
To learn more about the new DEXassist solution, visit https://dexis.com/en-us/dexassist-earlyaccess

